Ematoma Subdurale Acuto
Traumi Cranioencefalici Ppt Video Online Scaricare
Ematoma Subdurale Cronico O Acuto Sintomi Cause Terapia E Guarigione Tanta Salute
Http Infermieristica Polodidatticopanico Com Wp Content Uploads Sites 2 19 06 Infermiere E Neurochirugia Trauma Pdf
Ematoma Subdurale Acuto のギャラリー
Trauma Craniocerebrale Douleur Riviera
Lesione Cerebrale Traumatica Traumi Avvelenamento Manuali Msd Edizione Professionisti
Jama Studio Sul Rischio Di Ematoma Subdurale Associato All Uso Di Farmaci Antitrombotici Sismed Societa Italiana Scienze Mediche
Ematoma Subdurale Cronico Dell Adulto Sciencedirect
Una Statina Per Gli Ematomi Subdurali Cronici La Medicina In Uno Scatto
Ematoma Subdurale Cos E E Come Si Cura Hardoctor News Il Blog Di Carlo Cottone
Lesione Cerebrale Traumatica Traumi Avvelenamento Manuali Msd Edizione Professionisti
Traumi Cranioencefalici Ppt Video Online Scaricare
Emorragia Subdurale Con L Edema Del Cervello Fotografia Stock Immagine Di Testa Voluminoso
Infermieri Di Neurochirurgia
3d Bones Bionit Labs
Trauma Cranico In Dizionario Di Medicina
Traumi Cranioencefalici Ppt Video Online Scaricare
Emorragia Subdurale Con L Edema Del Cervello Fotografia Stock Immagine Di Testa Voluminoso
Un Caso Di Ematoma Subdurale Cronico
Emc Italia Com Public Download Ematomi intracranici post Traumatici in fase acuta Pdf
Lesione Cerebrale Traumatica Traumi Avvelenamento Manuali Msd Edizione Professionisti
A A 12 13 Scaricato Da Sunhope It Prof M Rotondo D U Neuroscienze Clinica Neurochirurgica S U N C T O Pdf Free Download
Il Trauma Cranico Dr Riccardo A Ricciuti Pdf Free Download
Ematoma Intracranico Che Cos E Sintomi Cause Prevenzione E Trattamento Top Doctors
Un Caso Di Ematoma Subdurale Cronico
Ppt Universita Degli Studi Di Catania Facolta Di Medicina E Chirurgia Powerpoint Presentation Id
Journals Seedmedicalpublishers Com Index Php Rhc Article Download 933 1117
Puntura Lombare E Igroma Subdurale Ed Ematomi Nei Pazienti Sottoposti A Trapianto Di Cellule Ematopoietiche Trapianto Di Midollo Osseo Trapianto Di Midollo Osseo 21
Modificazioni Post Chirurgiche Normali Pneumoencefalo Frontale Download Scientific Diagram
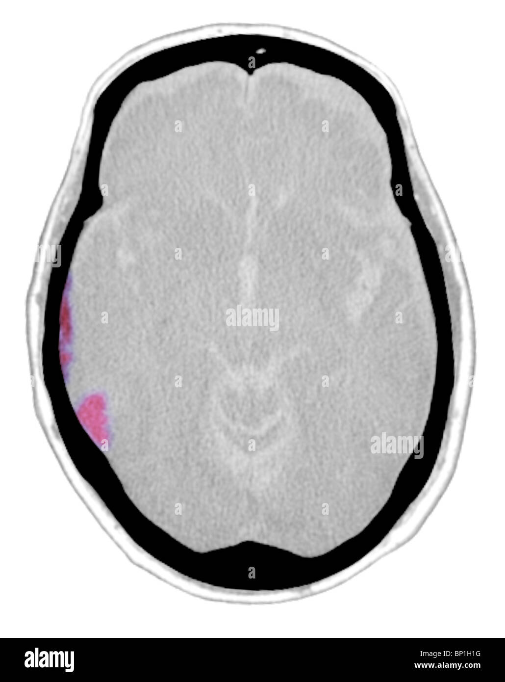
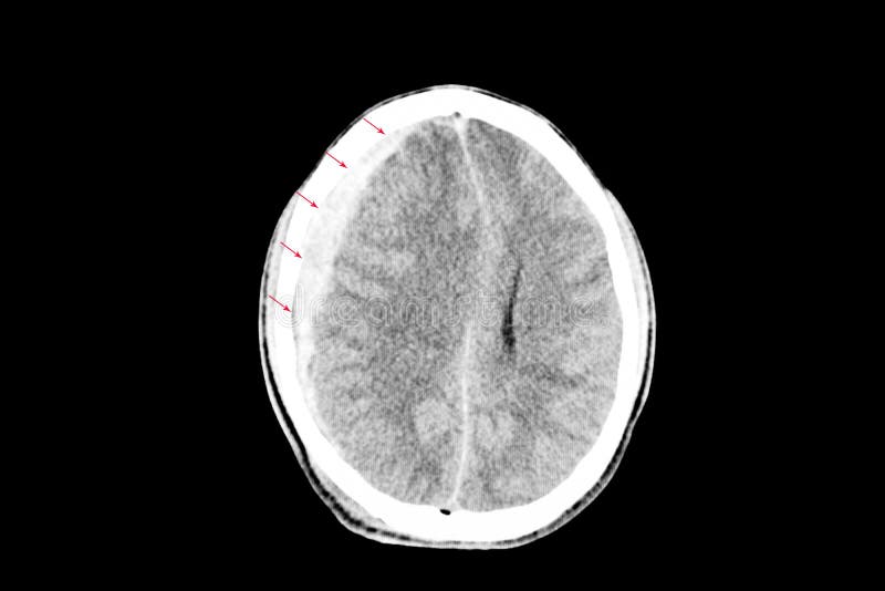
Testa Di Scansione Tc Con L Ematoma Subdurale Atrofia Foto Stock Alamy
Traumi Cranici Cranio Encefalici Ppt Video Online Scaricare
Un Caso Di Ematoma Subdurale Cronico
Lesione Cerebrale Traumatica Traumi Avvelenamento Manuali Msd Edizione Professionisti
Il Trauma Cranico Dr Riccardo A Ricciuti Pdf Free Download
Emc Italia Com Public Download Ematomi intracranici post Traumatici in fase acuta Pdf
Infermieri Di Neurochirurgia
Emc Italia Com Public Download Ematomi intracranici post Traumatici in fase acuta Pdf
Ematomi Intracranici Lesioni E Avvelenamento Manuale Msd Versione Per I Pazienti
198 Ematoma Foto Foto Stock Gratis E Royalty Free Da Dreamstime
Edema Cerebrale E Chirurgia Prof Antonino Raco
Emorragia Cerebrale Fondazione Umberto Veronesi
Scansione Tc Del Cervello Che Mostra L Ematoma Subdurale Foto Stock Alamy
Ematoma Subdurale Cronico Dell Adulto Sciencedirect
Ematoma Subdurale Cos E Da Quale Malattia E Provocata Recidivo Decorso Medicina Online
Emc Italia Com Public Download Ematomi intracranici post Traumatici in fase acuta Pdf
Bianchi Ematoma Subdurale Autoblog
La Salute Su Aostaoggi It Il Trauma Cranico Lieve Nei Bambini Aostaoggi It
Ematoma Post Traumatico Neurochirurgo
Jama Studio Sul Rischio Di Ematoma Subdurale Associato All Uso Di Farmaci Antitrombotici Sismed Societa Italiana Scienze Mediche
Il Trauma Cranioencefalico Ppt Video Online Scaricare
Un Caso Di Ematoma Subdurale Cronico
Ematoma Subdurale Wikiwand
Ematoma Cerebrale Immagini E Fotos Stock Alamy
Ematoma Subdurale Wikiwand
Traumatologia Cranio Encefalica Pdf Download Gratuito
Igroma Subdurale Wikipedia
Journals Seedmedicalpublishers Com Index Php Rhc Article Download 933 1117
Traumi Cranioencefalici Ppt Video Online Scaricare
Emorragia Subdurale Con L Edema Del Cervello Fotografia Stock Immagine Di Testa Voluminoso
Http Infermieristica Polodidatticopanico Com Wp Content Uploads Sites 2 19 06 Infermiere E Neurochirugia Trauma Pdf
Elearning Uniroma1 It Mod Resource View Php Id 350
Trauma Cranico Primario Trauma Cranico Secondario Ppt Scaricare
Traumi Cranici
Www Sirm Org Documenti Terapia Intensiva Andreoli
Ictus Emorragico
Commozione Cerebrale
Ictus Ischemico Malattie Neurologiche Manuali Msd Edizione Professionisti
Www Ospedale Perugia It Mc Api Risorse Streamrisorsa Aspx Guid 57bcdf15 E1f8 4b96 B8cc A8eb
198 Ematoma Foto Foto Stock Gratis E Royalty Free Da Dreamstime
Basi Chimico Fisiche Dell Imaging Tc Ed Rmn Delle Emorragie Intracraniche Neuro E Non Solo Fermononrespiri
Http Infermieristica Polodidatticopanico Com Wp Content Uploads Sites 2 19 06 Infermiere E Neurochirugia Trauma Pdf
Scansione Tc Della Testa Di Un 77 Anno Vecchio Che Mostra Un Acuto L Ematoma Subdurale Foto Stock Alamy
Ematoma Sottodurale Cronico Chirurgia Spinale
Ematoma Subdurale Cause Sintomi Diagnosi Trattamento Con Competenza Per La Salute Su Ilive
Ematoma Subdurale Cronico Dell Adulto Sciencedirect
Universita La Sapienza Neurochirurgia Ppt Scaricare
Traumi Cranici Cranio Encefalici Ppt Video Online Scaricare
A The Initial Ct Scan Shows A Left Fronto Temporo Parietal Tasdh Download Scientific Diagram
Emc Italia Com Public Download Ematomi intracranici post Traumatici in fase acuta Pdf
Basi Chimico Fisiche Dell Imaging Tc Ed Rmn Delle Emorragie Intracraniche Neuro E Non Solo Fermononrespiri
Journals Sagepub Com Doi Pdf 10 1177 s210
Ematoma Subdurale Cos E E Come Si Cura Hardoctor News Il Blog Di Carlo Cottone
The First Hours Of Traumatic Brain Injury Evaluation And Management In Emergency Room Pinero Reviews In Health Care
Traumi Cranici Luciano Mastronardi Neurochirurgia Ospedale Sant Andrea Roma Pdf Free Download
Scansione Tc Della Testa Che Mostra Un L Ematoma Subdurale Foto Stock Alamy
Emc Italia Com Public Download Ematomi intracranici post Traumatici in fase acuta Pdf
Infermieri Di Neurochirurgia
Traumi Cranioencefalici Ppt Video Online Scaricare
Traumi Cranioencefalici Ppt Video Online Scaricare
The First Hours Of Traumatic Brain Injury Evaluation And Management In Emergency Room Pinero Reviews In Health Care
Trauma Cranico Wikipedia
Ematoma Cerebrale Immagini E Fotos Stock Alamy
Ematoma Subdurale Wikipedia
Area Pediatrica It R Php V 2646 A L F Allegati 16 03 Fulltext Ap 16 3 Lugset16 Pp122 125 Pdf
Neurochirurgia Appunti 1 3 Studocu
Ematoma Subdurale Cronico Dell Adulto Sciencedirect
A A 12 13 Scaricato Da Sunhope It Prof M Rotondo D U Neuroscienze Clinica Neurochirurgica S U N C T O Pdf Free Download
Traumatologia Cranio Encefalica Pdf Download Gratuito
Scansione Tc Della Testa Con L Ematoma Subdurale Foto Stock Alamy
Elearning Uniroma1 It Mod Resource View Php Id 350
Journals Seedmedicalpublishers Com Index Php Rhc Article Download 933 1117


