Bending Test Scoliosis
The Adams forward bend test is clinical test to assess the presence of a scoliosis Technique Exclusion of a limb length discrepancy is considered important prior to performing the test The patient is asked to bend forward with feet together, arms hanging and knees extended until the back becomes horizontal,.
Bending test scoliosis. The American Academy of Paediatrics has recommended annual scoliosis screening with the forward bending test at routine health supervision visits The combination of the Adam forward bending test and the scoliometer measurement of the angle of trunk rotation (ATR) has been shown to be the simplest, quickest, most reliable, and least expensive objective measure of trunk deformity 18. How to Check Your Child for Scoliosis Adams Forward Bending Test 1 First, ask your child to remove their top and stand facing away from you so you can see their back clearly 2 While your child is standing upright, visually inspect their back Do you notice any significant asymmetry or 3. The Adams forward bend test is clinical test to assess the presence of a scoliosis Technique Exclusion of a limb length discrepancy is considered important prior to performing the test The patient is asked to bend forward with feet together,.
Scoliosis Evaluation Adams Forward Bending Position The quickest way to evaluate for a functional scoliosis is to have the patient perform Adam’s position In this test, the patient flexes forward from the waist, with the arms hanging down and the hands together. William Adams described the Forward Bending Test for scoliosis in 1865 His understanding of the nature of the rotational element of scoliosis was given by a postmortem he performed on an eminent surgeon and geologist, Gideon Mantell The clinical history of Dr Mantell is well documented. A rib hump is identified during the Adam’s forward bending test If there is asymmetry in the rib height or there is a noticeable curve in the spine it is very likely that the spine has scoliosis Just as a rib hump is a key indicator of scoliosis, the regression of a rib hump is an indicator of effective scoliosis treatment and curve reduction.
Karachalios T, Sofianos J, Roidis N, et al Tenyear followup evaluation of a school screening program for scoliosis is the forwardbending test an accurate diagnostic criterion for the screening of scoliosis?. Diagnoses of Scoliosis Historically in schools, kids were given a “forward bend test” so a doctor or nurse could check the curvature of their spines and look for abnormalities in the rib cages To some degree, this is still performed today, but recently it’s been shown that these tests can miss cases of scoliosis. Plumb line test This is a quick visual check to see if the spine is straight In scoliosis, the plumb line will fall to Scoliometer If the doctor sees a rib hump, he or she can use a scoliometer to measure the size of the hump It's a Xray An xray can help the doctor confirm scoliosis by.
William Adams described the Forward Bending Test for scoliosis in 1865 His understanding of the nature of the rotational element of scoliosis was given by a postmortem he performed on an eminent surgeon and geologist, Gideon Mantell The clinical history of Dr Mantell is well documented. Scoliosis usually occurs in early adolescence, becoming more noticeable during a growth spurt The child’s physician or school nurse will screen for scoliosis by having the child perform the Adam’s Forward Bend Test to look for any unevenness or abnormalities in the shoulders, rib cage or back. The patient is inspected standing upright with feet together and knees extended/straight with arms held at the side The The patient is again inspected from the back noticing any differences in the shoulder or waist alignment or prominence The patient is then instructed to put both of their.
Depending on the state you live in, you may remember doing a simple scoliosis screening in the nurse’s office at school Schools use the Adam’s Forward Bend Test for scoliosis screenings which can also be used at home to identify spine abnormalities Bending forward at the waist with your feet together shows asymmetry or unevenness in the back. For scoliosis, the Adams forwardbending test showed a number of falsenegative results (in five cases), for a sensitivity of 8437% and specificity of 9344% The sensitivities of Moire topography, the humpometer, and the scoliometer were 100%, 9375%, and 9062%, respectively, and specificity was 8538%, 7811%, and 7976% respectively. Forward bending with feet together and knees straight Allow arms to hang down freely (or palms opposed) Examiner position Observe patient from behind (preferred position) Some school screening programs observe the patient from the front (may be less accurate) Abnormal findings Unilateral changes.
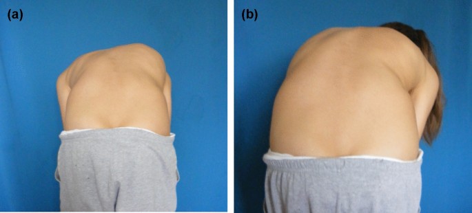
When the patient is examined from the rear and asked to bend forward until the spine is horizontal, one side of the back may appear higher than the other This test, called the Adams test, is a very sensitive test for scoliosis;. Various organizations have recommended routine screening for scoliosis in children and adolescents since the 1980s 1, 4 More than half of US states either mandate or recommend schoolbased screening for scoliosis 1, 4, 7 Children and adolescents are usually screened with the forward bend test, with or without scoliometer measurement 1, 4. The principal screening test for scoliosis is the physical examination of the back, which includes the Adams forwardbending test (Fig 1a), while the "scoliometer" (Fig 1b) quantifies the trunk deformation The bending test (Adams test) is performed in both standing and sitting forward bending positions.
Adam’s forward bend test for scoliosis screening The patient stands and bends forward at the waist The examiner assesses for back symmetry from behind and beside the patient Any back or rib cage. Inclination of 59 degrees suggest Scoliosis and warrants Scoliosis XRay (or 6 month recheck at minimum) Scoliometer inclination >10 degrees suggests severe Scoliosis and requires workup;. Adams Forward Bend Test The Adams Forward Bend Test is the simplest and most commonly used scoliosis evaluation technique The method is easy to learn and highly accurate in identifying people who might demonstrate atypical side to side curvatures of the vertebral column Most schoolaged children will have this test performed on them yearly as part of their general health evaluation by the school nurse or doctor.
Scoliosis is a condition where the spine grows in a rotational and sideways manner It can be mild and remain stable, but it also can increase over time Most patients will be referred by their pediatrician or school to a scoliosis clinic when the reading on a forwardbending test is approximately 57 degrees. The Adams forward bend test is clinical test to assess the presence of a scoliosis Technique Exclusion of a limb length discrepancy is considered important prior to performing the test The patient is asked to bend forward with feet together,. Scoliosis is a medical condition in which a person's spine has a sideways curve The curve is usually "S" or "C"shaped over three dimensions In some, the degree of curve is stable, while in others, it increases over time Mild scoliosis does not typically cause problems, but more severe cases can affect breathing and movement.
An evaluation of the Adams forward bend test and the scoliometer in a scoliosis school screening setting We examined the ability of the Adams forward bend test and the scoliometer to detect truncal rotation or asymmetry in a school screening setting Of 954 sixth graders examined with each test independently, 123 and 13 using an angle of trunk rotation (ATR) of > 5 and 7 degrees, respectively were. Scoliosis is usually confirmed through a physical examination, an xray, spinal radiograph, CT scan or MRI The curve is measured by the Cobb Method and is diagnosed in terms of severity by the number of degrees See link A standard exam that is sometimes used by paediatricians and in grade school screenings is called the Adam's Forward Bend Test. The Adam’s forward bend test is a simple and noninvasive screening exam that can effectively detect the presence of indicators for scoliosis This is highly advantageous as there are numerous benefits to early detection in terms of treatment efficacy.
Spine (Phila Pa 1976) 1999;24(22)2314 7 Linker B A dangerous curve the role of history in America’s scoliosis screening. The scoliosis screening test known as Adam’s forward bending test, is a nerve tension test The forward bending posture of Adam’s test results in an elongation and stretch of the spinal canal Nerve tension increases in this forward bent position, and to relieve that tension the spine twists and collapses down like a spring. The forward bending test according to Adams and rib hump quantification by scoliometer are common clinical examination techniques in idiopathic scoliosis, although precise data about the change of axial surface rotation in forward bending posture are not available.
The Cobb’s Angle is a standard measurement to determine and track the progression of scoliosis Locate the most tilted vertebra at the top of the curve and draw a parallel line to the superior vertebral end plate Locate the most tilted vertebra at the bottom of the curve and draw a parallel line to. The Adams forwardbending test is the most sensitive and widely used qualitative clinical examination. Patient bending their upper body laterally (right and left) from the hips as much as possible ensure patient aligned centrally to the IR ensure rotation of hips and shoulders is reduced as much as possible (some rotation inherent to scoliosis may be inevitable) ensure at least 35 cm of iliac crests are present on the radiograph.
The forward bending test according to Adams and rib hump quantification by scoliometer are common clinical examination techniques in idiopathic scoliosis, although precise data about the change of axial surface rotation in forward bending posture are not available. Adam’s Forward Bending Test Despite increasing evidence of its shortcomings, the Adam’s Forward Bending Test has been the gold standard for scoliosis screening since its introduction in 1865 Most experts recommend using a scoliometer (a simple device that measures rotation of the torso) to enhance the effectiveness of scoliosis screening. Scoliosis is a disorder that causes the spine to curve at an angle of 10° or more In most children, the spine looks straight, but if the child has scoliosis, the spine appears in the shape of C or S and gives an illusion that the child is leaning to one side It can occur in children of any age group.
One of the most common tests for detecting scoliosis is called the Adam’s Forward Bend Test, in which the individual bends from the waist as if touching the toes As you can see in the image below, one of the tell tale signs of scoliosis is a rib hump that can appear during this test. Plumb line test This is a quick visual check to see if the spine is straight In scoliosis, the plumb line will fall to Scoliometer If the doctor sees a rib hump, he or she can use a scoliometer to measure the size of the hump It's a Xray An xray can help the doctor confirm scoliosis by. Scoliosis is a medical condition in which a person's spine has a sideways curve The curve is usually "S" or "C"shaped over three dimensions In some, the degree of curve is stable, while in others, it increases over time Mild scoliosis does not typically cause problems, but more severe cases can affect breathing and movement.
Purpose Diagnosis of scoliosis The Adams Forward Bend Test is used in many situations to diagnose scoliosis, however it is not a primary source for a diagnosis This test is often used at schools and doctors offices to check for scoliosis The patient bends forward, as if they are diving. Scoliosis is a medical condition in which a person's spine has a sideways curve The curve is usually "S" or "C"shaped over three dimensions In some, the degree of curve is stable, while in others, it increases over time Mild scoliosis does not typically cause problems, but more severe cases can affect breathing and movement. Scoliosis is usually confirmed through a physical examination, an xray, spinal radiograph, CT scan or MRI The curve is measured by the Cobb Method and is diagnosed in terms of severity by the number of degrees See link A standard exam that is sometimes used by paediatricians and in grade school screenings is called the Adam's Forward Bend Test.
The purpose of the Adam’s forward bend test is detecting structural or functional scoliosis This test is most often used during school screening for scoliosis It can also be used with patients who have a family history of scoliotic posture or with patients who have detectable scoliosis of uncertain etiology The scoliosis is functional when the characteristics of scoliosis becomes more visible while the patient bends. The prevalence of idiopathic scoliosis defined as a positive Adam Forward Bending Test, gibbus > 7° and primary major curve on radiographs > 10°, was 055% Five children (013%) had a major curve > °. ADAMS FORWARDBENDING TEST In scoliosis because of vertebral rotation this will produce rib prominence in the thoracic region or a paraspinal fullness in lumbar region 16 SCOLIOMETER • Scoliometer may be used in conjunction with adams forward bending test to evaluate truncal rotation • Angle.
The scoliometer (also called an inclinometer) is a type of protractor used to measure the vertebral rotation and rib humping that is seen in scoliosis with the forwardbending test An angle of 5 degrees or less is usually insignificant, whereas an angle of 7 degrees or more warrants orthopedic referral and consideration of standing posteroanterior and lateral radiographs for more precise assessment of curvature. Adams forwardbending test The patient is viewed from behind and is asked to bend forward until the spine is horizontal When scoliosis is present, one side of the back appears higher than the other One of the constant features of structural scoliosis is axial rotation of the vertebrae affected by the curve. Depending on the state you live in, you may remember doing a simple scoliosis screening in the nurse’s office at school Schools use the Adam’s Forward Bend Test for scoliosis screenings which can also be used at home to identify spine abnormalities Bending forward at the waist with your feet together shows asymmetry or unevenness in the back.
Diagnoses of Scoliosis Historically in schools, kids were given a “forward bend test” so a doctor or nurse could check the curvature of their spines and look for abnormalities in the rib cages To some degree, this is still performed today, but recently it’s been shown that these tests can miss cases of scoliosis. Scoliosis XRay Indications BMI. It is therefore the most frequent screening test for scoliosis.
Scoliosis is a condition where the spine grows in a rotational and sideways manner It can be mild and remain stable, but it also can increase over time Most patients will be referred by their pediatrician or school to a scoliosis clinic when the reading on a forwardbending test is approximately 57 degrees.
A Simple Method For Assessing Rotational Flexibility In Adolescent Idiopathic Scoliosis Modified Adam S Forward Bending Test Springerlink
Www Choa Org Media Files Childrens Medical Professionals Nursing Resources Scoliosis Reference Guide Pdf La En
Adams Forward Bend Test
Bending Test Scoliosis のギャラリー
Self Detection Fact Sheet Welcome To Scoliosis Australia
How To Detect A Scoliosis And What To Do If You Identify One Trimetrics
Scoliosis Consultant 360
Prof Shah Alam Scoliosis 11
How To Check Your Child For Scoliosis Adams Forward Bending Test Youtube
Forward Bending Test Medical Illustration Medivisuals
Physio Lebanon Scoliosis Clinical Presentation There Facebook
Get It Straight Scoliosis Awareness Month Dr Pamela Ross The Socially Conscious Physician
Escoliosis Diagnosis Treatment Boston Children S Hospital
What Is A Forward Bending Test Clear Scoliosis Institute
Scoliosis Overview And More
Scoliosis In Children
Scoliosis
Scoliosis Physiopedia
Overcoming Scoliosis Positive Parenting
Www Choa Org Media Files Childrens Medical Professionals Nursing Resources Screening For Healthcare Professionals Pdf La En
Adolescent Idiopathic Scoliosis Common Questions And Answers American Family Physician
Signs Of Scoliosis How To Diagnosis Scoliosis Adams Forward Bend Test
Scoliosis Seminar
Adam S Forward Bend Test Physiopedia
Rmg Nm Org Media Cpg Pdf 18 Sports Med Conference Nonsurgical Treatment Of Athletes With Scoliosis 18 Ashx
Scoliosis Diagnosis Methods To Better Understand Kypho
Signs Of Scoliosis How To Diagnosis Scoliosis Adams Forward Bend Test
Www Choa Org Media Files Childrens Medical Professionals Nursing Resources Scoliosis Scoliosis Manual 18 Instruction For Healthcare Professionals Pdf La En
Q Tbn And9gcqvqcpv7uqcbnbvkp2bpwiph Cu14ncb9ooueronq0 Usqp Cau
Scoliosis What The Exercise Teacher Needs To Know Norris Health
Scoliosis Wikipedia
What Every Chiropractor Needs To Know About Scoliosis Ppt Download
Spinal Tech Types Of Scoliosis
Scoliosis
Scoliosis In Children And Teenagers Raising Children Network
Adolescent Deformity Musculoskeletal Key
Scoliosis In Children And Teenagers Raising Children Network
Adam S Forward Bend Test Physiopedia
Understanding Cobb Angles And What It Means For Scoliosis
Scoliosis Spine Aline
Figure 3 From Scoliosis A Review Semantic Scholar
Disorders Of Spinal Growth And Development Musculoskeletal Key
Scoliosis Awareness Month 15 Empire Unleashed
Scoliosis The Test Parents Can Do At Home Health24
Scheuermann S Kyphosis Scheuermann S Disease Abnormal Curvature Of The Spine
Hemidystrophic Thorax Mimicking Scoliosis
Adams Forward Bend Test Scoliosis
Adolescent Idiopathic Scoliosis Diagnosis And Management American Family Physician
Scoliosis
Early And Late Childhood Physical Examination Click To Cure Cancer
Scoliosis Diagnosis
Scoliosis
Scoliosis Mydr
How Do I Know If I Have Scoliosis Hudson Valley Scoliosis
Adam S Forward Bend Test Physiopedia
Measurement Of The Rib Hump Of A Scoliosis Patient In The Forward Download Scientific Diagram
Q Tbn And9gcssd Neteopypklcdhbclktzd6zzaspmjjjlnlk91rhpfkp6hmk Usqp Cau
Q Tbn And9gct3fcpbpcsyb6sjyw1jlwioitklktil3his M Vk3sfz0m Ktmk Usqp Cau
Adam S Forward Bending Test Victoria Sports And Rehabilitation Clinic Mount Eliza Osteopaths Specialising In The Treatment Of Neck And Back Pain Headaches And Sports Injuries Servicing Mt Eliza Mornington Frankston
Adam S Forward Bend Test Physiopedia
Forward Bending Test Medical Exhibits Medivisuals
Pre And Post Treatment Adams Forward Bending Test Of The Same Patient Download Scientific Diagram
How To Detect A Scoliosis And What To Do If You Identify One Trimetrics
5 Main Causes Of Scoliosis In Children Symptoms Treatment
Adam S Forward Bend Test School Scoliosis Screening Guidelines The Download Scientific Diagram
In Depth Reports Scoliosis
A Simple Method For Assessing Rotational Flexibility In Adolescent Idiopathic Scoliosis Modified Adam S Forward Bending Test Springerlink
Adam S Forward Bend Test School Scoliosis Screening Guidelines The Download Scientific Diagram
Forward Bend Test Medlineplus Medical Encyclopedia Image
Natural Scoliosis Treatment 3rd Ed Scoliolife
Scoliosis Description
A Simple Method For Assessing Rotational Flexibility In Adolescent Idiopathic Scoliosis Modified Adam S Forward Bending Test Springerlink
Idiopathic Scoliosis In Children And Adolescents Orthoinfo os
Figure 2 From Adolescent Idiopathic Scoliosis Treatment By A Korean Neurosurgeon The Changing Role For Neurosurgeons Semantic Scholar
Mcat Memoranda Adam S Forward Bend Test Adam S Forward Bend
A Simple Method For Assessing Rotational Flexibility In Adolescent Idiopathic Scoliosis Modified Adam S Forward Bending Test Springerlink
Adolescent Idiopathic Scoliosis
60 Scoliosis Project Ideas Scoliosis Scoliosis Exercises Scoliosis Surgery
Curve Classification And Naming History Physical Exam And Treatment Overview Pediatric Rehabilitation
Adolescent Idiopathic Scoliosis Diagnosis And Management American Family Physician
Exercises To Help Your Scoliosis Kin Lab Expert Kinesiologists In Vancouver
5 Tips To Help You Perform A Home Screening For Scoliosis
Self Detection Fact Sheet Welcome To Scoliosis Australia
Scoliosis Health Information Bupa Uk
Forwardbendtest
Functional Scoliosis The American Chiropractor
Figure 1 From The Influence Of Vision And Support Base On Balance During Quiet Standing In Patients With Adolescent Idiopathic Scoliosis Before And After Posterior Spinal Fusion Semantic Scholar
Scoliosis Eorthopod Com
Adolescent Idiopathic Scoliosis Orthopaedia
Melbourne Scoliosis Chiropractor Our Approach
Pin On Nurse Work Related
Epingle Sur Nurse
A The Adams Forward Bending Test And B The Scoliometer Download Scientific Diagram
Scoliosis Screening What To Expect
Scoliosis Overview Scolios Us
The Adam S Forward Bend Test Performed By Left A Patient Without Download Scientific Diagram
Adams Forward Bend Test Healthplexus Net
What Is Adolescent Idiopathic Scoliosis By Dr Matt Janzen Medium
Scoliosis Secondary Prevention Wikidoc
Spinal Tech Types Of Scoliosis
A The Adams Forward Bending Test And B The Scoliometer Download Scientific Diagram
Q Tbn And9gcrsehxxq8wphr3rvvpkapxf 1m8jerdblbkgjtzb Kohzksu1jt Usqp Cau
About Spinal Deformities Texas Spine And Scoliosis
Early Onset Scoliosis Information Sheet Scoliosis Association


