Mola Del Giudizio
Il problema è che nel caso di un dente del giudizio incluso, si possono creare cisti che si espandono nell'osso alveolare e, nei casi peggiori, possono provocarne la distruzione Il dente del giudizio può essere storto Quando il dente del giudizio cresce storto, può provocare lo spostamento degli altri denti agendo su di essi per erompere.
Mola del giudizio. Se non si individua la vera causa del problema, la postura assunta dal corpo per sfuggire al dolore diventerà cronica Precontatti, malocclusioni, un bite sbagliato, un blocco dell'articolazione temporomandibolare, possono essere alcune delle cause scatenanti Anche la mancanza di uno o più denti modifica la deglutizione e procura torsione. Infatti spesso i denti del giudizio non spuntano o spuntano con un asse inclinato rispetto al normale a causa del fatto che non c’è più molto spazio per una normale crescita del dente Questo problema è di tipo evolutivo, poiché mentre gli antenati dell’homo sapiens avevano mascelle più massicce e lunghe per strappare la carne cruda. Gonfiore interno guacia post estrazione mola del giudizio sinistra inferiore 0709 Utente Salve, da due settimane ho subito l'estrazione del terzo molare sinistro inferiore.
La traduzione in spagnolo del libro originale in tedesco del dottor Adler, AllgemeinErkrankungen durch Störfelder, la si può scaricare gratuitamente in formato pdf Terapia Neurofocal Dental Il dottor Adler era molto attratto dagli animali, e nella propria casa aveva anche delle scimmie In esse scoprì che posteriormente al dente del giudizio vi era uno spazio, lo spazio retromolare. Per parestesia si intende una alterazione della sensibilità di un arto o di altre parti del corpo, come la mandibola inferiore, alterazione che viene descritta come un “formicolio alle labbra”, “insensibilità al labbro inferiore”, “mi mordo ma non sento male al labbro inferiore. Ma vogliamo rassicurarti, non fa male togliere il dente del giudizio L’operazione avviene generalmente in anestesia locale , ma a seconda del grado e della difficoltà dell’estrazione e della tua eventuale ansia, potrebbe esserti proposta un’anestesia generale.
Mi fa un male scandaloso la devo far estrarre per forza, si si, si sente molto dolore già è uscita un pò dalla gengiva Rispondi Salva 6 risposte Comunque se il dente esce tutto non preoccuparti, l'importante è che "ci stia" e il dolore che hai per la "nascita" del dente poi tende a passare(di solito i denti del. Denti del giudizio cosa sono I denti del giudizio – o terzi molari – sono gli ultimi che spuntano nelle arcate dentarie Sorgono normalmente in età adolescenziale e nei giovani adulti, in un’età compresa tra i 15 e i 30 anni È proprio per questo motivo che vengono definiti “del giudizio”. L’estrazione del molare del giudizio inferiore può essere, talvolta, piuttosto complessa A causa della contiguità tra le radici del dente e il nervo alveolare inferiore, esiste il rischio di lesioni del nervo durante l’estrazione e conseguente parestesia del labbro inferiore (che in genere è transitoria, più raramente permanente).
Circa il 90% delle persone ha rimosso almeno uno dei terzi molari, comunemente chiamati denti del giudizio, ad un certo punto della loro vita Molte persone hanno deciso di estrarli tutti e quattro per prevenire problemi dentali futuriSe si esegue questa procedura relativamente comune, sapere cosa mangiare dopo l’intervento chirurgico può portare a un recupero molto più agevole. Si chiamano denti del giudizio perché in linea di massima spuntano tra i 17 e i 25 anni quando, almeno teoricamente, si è raggiunta la piena maturità Ma a non fare giudizio spesso sono proprio loro i terzi molari o ottavi, gli ultimi denti che dovrebbero trovare posto in fondo alle arcate superiore e inferiore. I denti del giudizio di solito compaiono tra i 16 e i 29 anni La decisione di rimuovere il dente del giudizio spetta al dentista In generale, l’estrazione avviene per mancanza di spazio all’interno della cavo orale A volte, infatti, per poter uscire, il dente del giudizio spinge il molare e gli altri denti Ciò può causare dolore.
Estrazione del dente del giudizio sono gli ultimi a spuntare, ecco perché si chiamano del giudizio, perché arrivano quando ormai si è cresciuti Molti però sono costretti a rimuoverli. Il dente del giudizio sta provocando un dolore insopportabile e non sai come fare per alleviarlo?. Eredità dei nostri antenati, il dente del giudizio è un problema molto diffusoIl fastidio che provoca e che, talvolta, sfocia nel dolore è una sensazione molto familiare alla maggior parte delle persone adulte la nascita degli ultimi quattro denti dell’arcata dentale superiore e inferiore avviene infatti tra 18 e i 25 anni, cioè in quella che dovrebbe essere l’età della maturità o.
In questo articolo scoprirai cosa sono, come vengono estratti e alcuni rimedi naturali per alleviare il dolore!. Questo per monitorare la crescita dei denti del giudizio e valutare se estrarli già attorno ai 16 anni o se invece si può attendere Effettuiamo perciò spesso nei ragazzi tra i 16 e i 18 anni germectomie, cioè estrazioni di ottavi che non hanno ancora formato le radici Bene Nel 99% dei casi i denti del giudizio sono da estrarre. I denti del giudizio sono i terzi nonché ultimi molari che spuntano nelle arcate dentarie Chiamati anche ottavi, i denti del giudizio devono il loro singolare nome all'età in cui erompono attraverso le gengive rispetto agli altri denti, quelli del giudizio tardano ad affiorare per comparire normalmente tra i 18 ed i 25 anni, un'età che almeno teoricamente potrebbe.
Salve dottori, da un po di mesi ho notato che il dente del giudizio arcata superiore, si muove leggermente, l'ho notato se faccio la prova di digrignare i denti avverto un piccolo rumore che proviene in quel punto Ho provato con un dito a toccarlo e fa un piccolo movimento e questo strano rumore Il dente è stato curato circa un anno fa e a. L’estrazione dente del giudizio è un passaggio indispensabile in molti casi Non sempre è necessario procedere in questa direzione, ma è il dentista a valutare di volta in volta la condizione La rimozione del dente del giudizio è senza dubbio un’eventualità che molti pazienti temono. La pericoronite è un’infiammazione della gengiva che circonda un dente in fase di eruzione Si tratta di un processo acuto, che quindi esordisce all’improvviso, e frequentemente si presenta a livello dei denti del giudizio, così chiamati perché spuntano tra i 18 e i 25 anni di età Pericoronite e denti del giudizio.
Quando crescono i denti del giudizio e a cosa servono?. Che cosa è la parestesia e come può un dente del giudizio causare una alterazione neurosensoriale?. I denti del giudizio sono i terzi nonché ultimi molari che spuntano nelle arcate dentarie Chiamati anche ottavi, i denti del giudizio devono il loro singolare nome all'età in cui erompono attraverso le gengive rispetto agli altri denti, quelli del giudizio tardano ad affiorare per comparire normalmente tra i 18 ed i 25 anni, un'età che almeno teoricamente potrebbe.
Già, proprio come te, ci sono nel mondo un’infinità di persone che in questo momento si ritrovano con i denti del giudizio intrappolati nel proprio cavo orale e provocano un dolore. L’estrazione del dente del giudizio è un’operazione più difficile e complessa rispetto all’estrazione di un altro dente, soprattutto nel caso di quelli inferiori La radice di questi ultimi infatti può essere molto vicina al canale osseo in cui decorre il nervo alveolare inferiore che innerva l’intera emimandibola , quindi, durante l’operazione, bisogna fare molta attenzione a non danneggiarlo. La maggioranza dei denti del giudizio hanno una contiguità con il nervo mandibolare e non per questo vengono lesi nell'atto chirurgico L'unica pericolosità sta solo se il nervo attraversa le radici del dente ed in questo caso bisognerebbe avere un pò di timore.
Il problema è che nel caso di un dente del giudizio incluso, si possono creare cisti che si espandono nell'osso alveolare e, nei casi peggiori, possono provocarne la distruzione Il dente del giudizio può essere storto Quando il dente del giudizio cresce storto, può provocare lo spostamento degli altri denti agendo su di essi per erompere. Quanto costa togliere un dente del giudizio?. Questa è una classica domanda che molti genitori di figli adolescenti, o gli stessi ragazzi, prima o poi si pongono, soprattutto se la comparsa dei denti del giudizio è problematica oppure accompagnata da dolori o processi infiammatori a carico della gengiva.
I denti del giudizio compaiono tra i 17 e 21 anni d'età, anche se in molte persone possano uscire prima o dopo Qualche paziente non avverte l'uscita dei molari, altri invece, sottoponendosi a trattamenti di chirurgia ortodontica in gioventù, sono operati per l'estrazione al fine di garantire, alla comparsa di questi denti, che non si muovano dalla posizione ottenuta dopo il trattamento. Per estrazione dente del giudizio incluso da come lei lo descrive il costo puo' variare da €180,00 a €250,00se invece e' un estrazione semi incluso il costo e' di €1,00 la tecnica chirurgica e' quella che lei descrive e i tempi di guarigione molto dipende dal suo organismo variano dai 30, giorni ai 60. I denti del giudizio sono i quattro molari posteriori che si trovano a ogni lato della bocca, sia nell'arcata superiore sia in quella inferiore Si tratta degli ultimi denti che spuntano e solitamente crescono durante la fase tardiva dell'adolescenza o intorno ai vent'anni La loro eruzione attraverso la gengiva è spesso asintomatica, ma a volte il processo può causare dolore o dolenzia.
Il dente del giudizio sta provocando un dolore insopportabile e non sai come fare per alleviarlo?. Quando è veramente necessario estrarre i denti del giudizio?. Cosa è il trattamento dei denti del giudizio I denti del giudizio possono richiedere un trattamento da parte del dentista in seguito a un disturbo riferito dal paziente, oppure a seguito di indagini diagnostiche che ne rivelano uno stato patologico, oppure che ne denotano pericolosità per gli elementi circostanti.
Un dente del giudizio orizzontale incluso può creare un terreno fertile per i batteri, portando infezioni, cisti, ascessi e carie Un’altra conseguenza è un sapore sgradevole in bocca e una condizione di alitosi La presenza di questi sintomi non vuol dire necessariamente che tu debba procedere a un’estrazione Vuol però dire che devi. Il costo per estrarre un molare del giudizio rientra tra quelli previsti per la rimozione chirurgica, per saperne di più sull’intervento ti consigliamo di leggere questo articolo “3 motivi per sottoporsi all’estrazione dei denti del giudizio”. In questo articolo scoprirai cosa sono, come vengono estratti e alcuni rimedi naturali per alleviare il dolore!.
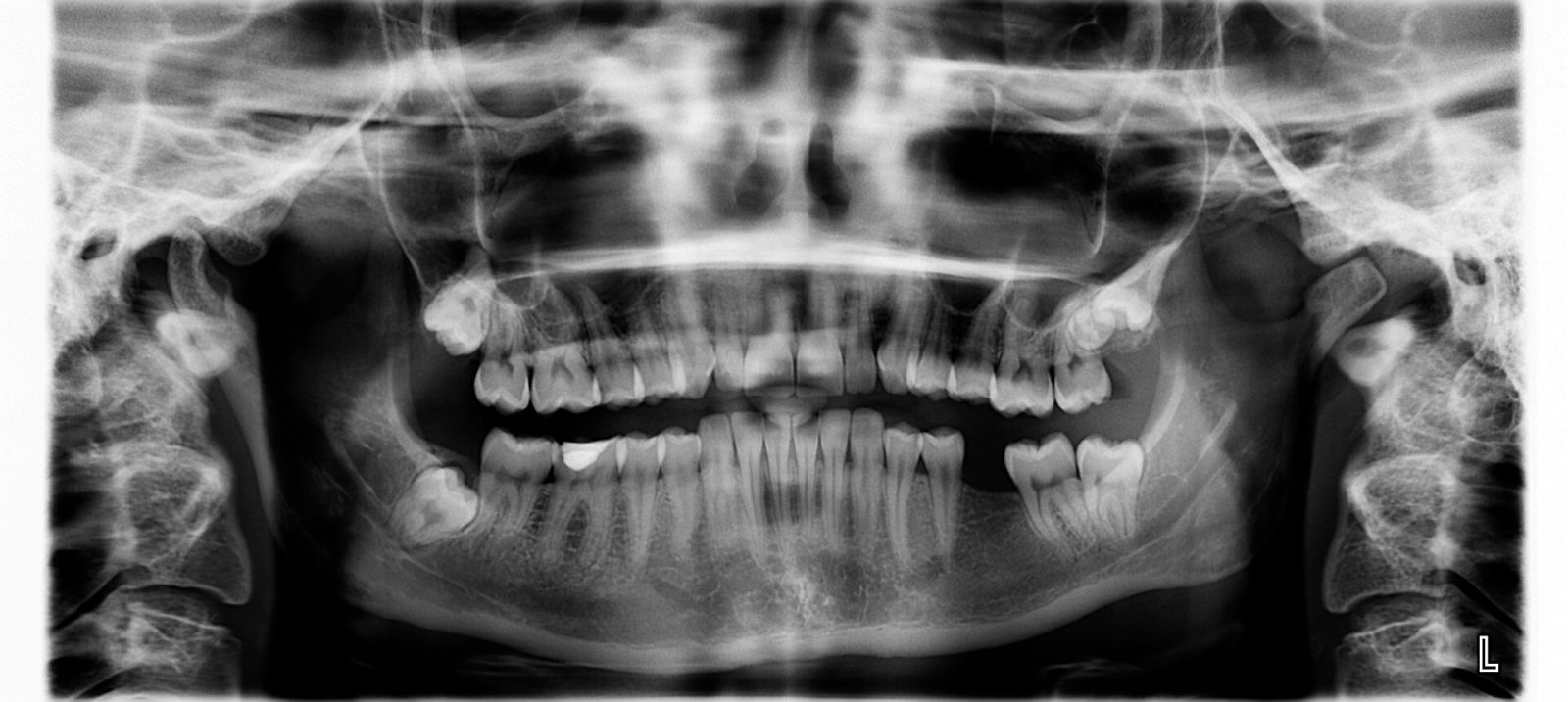
Circa il 90% delle persone ha rimosso almeno uno dei terzi molari, comunemente chiamati denti del giudizio, ad un certo punto della loro vita Molte persone hanno deciso di estrarli tutti e quattro per prevenire problemi dentali futuriSe si esegue questa procedura relativamente comune, sapere cosa mangiare dopo l’intervento chirurgico può portare a un recupero molto più agevole. La pericoronite è un’infiammazione della gengiva che circonda un dente in fase di eruzione Si tratta di un processo acuto, che quindi esordisce all’improvviso, e frequentemente si presenta a livello dei denti del giudizio, così chiamati perché spuntano tra i 18 e i 25 anni di età Pericoronite e denti del giudizio. Estrarre il molare del giudizio la preparazione L’estrazione del molare del giudizio è un atto chirurgico e in quanto tale richiede una preparazione preliminare La visita specialistica del cavo orale, supportata da un accurato studio radiografico, permette al medico di valutare con precisione la posizione e la salute del dente del giudizio.
Dente del giudizio che spunta incluso, semi incluso ed erotto Di solito il tuo dentista ti parlerà di denti inclusi, semi inclusi o erotti Di seguito ti spieghiamo le differenze Dente incluso si tratta di un dente ritenuto nella mascella e che non può uscire Può essere del tutto asintomatico e non dare alcun dolore, ma può anche dar. La molare del giudizio Il premolare dice alla mola “hai visto hai ricevuto il giusto castigo per esserti sottratta alla pulizia di Spazzolino!. I denti del giudizio, scientificamente chiamati “terzi morali” o “ottavi”, crescono solitamente nell’età in cui teoricamente si acquista la maturità – da qui il nome – ovvero tra i 18 e i 25 anniSono gli ultimi denti che crescono, ma non sempre fanno la loro comparsa.
Ho avuto un improvviso mal di mola del giudizio e ho eseguito rx alla bocca,li ho portati al mio dentista, dopo una attenta valutazione mi ha riferito che la mia situazione è problematica in. Quanto costa togliere un dente del giudizio?. Mi fa un male scandaloso la devo far estrarre per forza, si si, si sente molto dolore già è uscita un pò dalla gengiva Rispondi Salva 6 risposte Comunque se il dente esce tutto non preoccuparti, l'importante è che "ci stia" e il dolore che hai per la "nascita" del dente poi tende a passare(di solito i denti del.
Adesso chiedo gentilmente a lei , se togliere le 4 mole del giudizio richiede sofferenza nel post operatorio, se si puo' estrarre una mola x volta o 2 x volta le chiedo un consiglio , sono a. Il dente del giudizio è un dente che talvolta può essere problematico ed arrecare dolore alla persona interessata Alcune volte, i denti del giudizio nascono senza provocare dolore e si allineano con gli altri denti, tuttavia il dente del giudizio, molto spesso, può provocare dolore, inoltre la presenza di un nuovo dente nell’arcata dentale può compromettere il corretto allineamento. Fase dell’estrazione di un dente del giudizio senza provare dolore Il problema di questa tecnica canonica è che la sua applicazione provoca spesso una frattura del dente e costringe il medico e il paziente a una seduta operatoria che può durare anche due ore, tanto sarà il tempo necessario a rimuovere tutti i frammenti del dente spezzato Il caso precedente si verifica spesso quando la.
Questo per monitorare la crescita dei denti del giudizio e valutare se estrarli già attorno ai 16 anni o se invece si può attendere Effettuiamo perciò spesso nei ragazzi tra i 16 e i 18 anni germectomie, cioè estrazioni di ottavi che non hanno ancora formato le radici Bene Nel 99% dei casi i denti del giudizio sono da estrarre. CHE COSA SONO I denti del giudizio chiamati anche ottavi o terzi molari sono gli ultimi molari che si formano nell'arcata dentaria Normalmente tendono ad erompere tra i 18 ed i 25 anni Visto che le arcate dentarie sono mediamente troppo piccole per accogliere questi denti, spesso accade che uno o più denti del giudizio non erompano nel cavo orale, rimanendo totalmente o parzialmente. La molare del giudizio Il premolare dice alla mola “hai visto hai ricevuto il giusto castigo per esserti sottratta alla pulizia di Spazzolino!.
Di solito il dente del giudizio superiore (che si chiama "molare" e non "mola" come dicono a Napoli in dialetto) sono abbastanza semplici da estrarre, ma se la corona del dente è molto cariata si potrebbe spezzare durante l'estrazione. Io ho tolto tutti e 4 i denti del giudizio Per quelli superiori il dentista ci ha messo 10 secondi l'uno, non ho sanguinato e non ho neanche preso l'antibiotico dopo Invece per uno degli inferiori è stato minuti, lo ha anche dovuto spaccare, e quando è svanita l'anestesia è stato veramente uno spasso per le 2 ore successive. La traduzione in spagnolo del libro originale in tedesco del dottor Adler, AllgemeinErkrankungen durch Störfelder, la si può scaricare gratuitamente in formato pdf Terapia Neurofocal Dental Il dottor Adler era molto attratto dagli animali, e nella propria casa aveva anche delle scimmie In esse scoprì che posteriormente al dente del giudizio vi era uno spazio, lo spazio retromolare.
Estrazione del dente del giudizio sono gli ultimi a spuntare, ecco perché si chiamano del giudizio, perché arrivano quando ormai si è cresciuti Molti però sono costretti a rimuoverli. I denti del giudizio, conosciuti anche come “terzi molari”, sono gli ultimi denti permanenti che si sviluppano Durante la loro crescita escono dalla gengiva provocando a volte dolore Potresti provare disagio quando crescono in direzione laterale oppure storti, se si sviluppano troppo di lato spingendo i denti adiacenti o anche se la tua. Sicuramente se non hai mai avuto problemi con i denti del giudizio, conosci qualcuno che ha dovuto affrontare questo problema, che può palesarsi anche in età avanzata e non necessariamente solo in gioventùIl dente del giudizio porta in dote tutta una serie di problematiche che non riguardano soltanto aspetti quali la masticazione ed altri legati alla salute orale.
Una delle più frequenti situazioni di dolore nel cavo orale e' la pericoronite del dente del giudizio Cos'è la pericoronite La pericoronite è una. Il costo per estrarre un molare del giudizio rientra tra quelli previsti per la rimozione chirurgica, per saperne di più sull’intervento ti consigliamo di leggere questo articolo “3 motivi per sottoporsi all’estrazione dei denti del giudizio”. I denti del giudizio vanno sempre estratti?.
Eredità dei nostri antenati, il dente del giudizio è un problema molto diffusoIl fastidio che provoca e che, talvolta, sfocia nel dolore è una sensazione molto familiare alla maggior parte delle persone adulte la nascita degli ultimi quattro denti dell’arcata dentale superiore e inferiore avviene infatti tra 18 e i 25 anni, cioè in quella che dovrebbe essere l’età della maturità o. Un dente del giudizio, o terzo molare, è uno dei tre denti molari presenti in ognuno dei quattro quadranti della dentatura umana Occupando l'ultima e quindi più interna posizione nell'arco dentale, i denti del giudizio sono chiamati anche ottavi Sono quindi in totale quattro terzo molare inferiore, terzo molare superiore, rispettivamente a destra e a sinistra. Il dente del giudizio è un dente molare che compare tra i 17 e i 25 anniSebbene i denti del giudizio non sempre provochino dolore, vi sono casi in cui si generano dolori intensi, irritazione e infiammazione Questo avviene poiché non non possono sistemarsi nella cavità orale in quanto non possiedono lo spazio sufficiente.
I denti del giudizio di solito compaiono tra i 16 e i 29 anni La decisione di rimuovere il dente del giudizio spetta al dentista In generale, l’estrazione avviene per mancanza di spazio all’interno della cavo orale A volte, infatti, per poter uscire, il dente del giudizio spinge il molare e gli altri denti Ciò può causare dolore. L’infezione di un dente del giudizio infatti, comporta il moltiplicarsi dei batteri nella regione del cavo orale causando cattivo odore e comparsa perciò di alitosi Dopo aver analizzato i sintomi più comuni ci possiamo soffermare su quelli dovuti ad un’infezione più profonda che non sempre appaiono ma che ugualmente possono essere ricondotti all’infezione del dente del giudizio. La rimozione di un dente del giudizio spaventa pazienti timidi e ipocondriaci, costringendoli a posporre la procedura per termine più lontano La sacada de la muela de la sabiduría asusta a los pacientes cohibidos y aprensivos, haciéndolos aplazar el procedimiento a cada vez más y más plazo lejano.
CHE COSA SONO I denti del giudizio chiamati anche ottavi o terzi molari sono gli ultimi molari che si formano nell'arcata dentaria Normalmente tendono ad erompere tra i 18 ed i 25 anni Visto che le arcate dentarie sono mediamente troppo piccole per accogliere questi denti, spesso accade che uno o più denti del giudizio non erompano nel cavo orale, rimanendo totalmente o parzialmente.
Ho Un Dente Che Si Muove Cause E Cure Samadent
Dente Del Giudizio Cos E E Cosa Fare Quando Esce Etica Dentale
Dente Del Giudizio Wikipedia
Mola Del Giudizio のギャラリー
Dente Del Giudizio Storto Cosa Fare I Dentisti Di Famiglia
La Cisti Dentale Diverse Tipologie E Come Curarla
Denti Del Giudizio Inclusi Forum Dentale Verona
Denti Del Giudizio Sfatiamo Qualche Mito Dott Valerio Di Grazia
Dente Del Giudizio Dolore Salute E Benessere
Q Tbn And9gcrmbjgw7hpdcuygv4ga Fy9w4nyhxqg4mgzx7n5scikgrjdxcqp Usqp Cau
Estrazione Dei Denti Del Giudizio Terapie Odontoiatria E Stomatologia Pazienti It
Estrazione Dente Del Giudizio Dentista San Giovanni Roma
I Denti Del Giudizio Quando Toglierli Implantologia Cannizzo Milano
Denti Del Giudizio Affrontare La Paura Del Dentista Per Risolvere La Pericoronite Clinidental Studio Odontoiatrico
Denti Del Giudizio Sintomi Gestione Del Dolore Estrazione Albanesi It
Estrazione Dente Del Giudizio Estrazione Dente Giudizio
Togliere I Denti Del Giudizio Estrazione Infezione Ascesso Inclusione
I Denti Del Giudizio
I Denti Del Giudizio Vanno Sempre Tolti Dentisti Vignato Vicenza
1
Coronectomia Dente Del Giudizio Cos E Wedental Care
Denti Del Giudizio E Infenzioni Ecco I Sintomi Da Non Sottovalutare Sulpanaro News
Denti Del Giudizio Facciamo Chiarezza Studio Bunino Zanini
Perche Rimuovere I Denti Del Giudizio Consigli Centri Dentistici Primo
Dente Del Giudizio Estrazione Ospedale Pediatrico Bambino Gesu
Dente Del Giudizio Wikipedia
Dente Del Giudizio Ridurre Il Gonfiore Dopo L Estrazione Vivere Piu Sani
Estrazione Dente Del Giudizio Dentista San Giovanni Roma
Estrazioni Di Denti Del Giudizio Inclusi Studio Deodato
Denti Del Giudizio Quando Toglierli E Quando Tenerli Dentista Resta
Dente Del Giudizio Rimedi Studio Dentistico Lorello Padova
1
Dente Del Giudizio E Mal Di Testa Studio Dentistico Delfino Anzisi
Perche E Importante Sostituire Un Dente Perso Cannizzo Studio Milano
Denti Del Giudizio Vanno Estratti Si O No Clinica Del Benessere Dentale
Denti Del Giudizio Quando Toglierli E Quando Tenerli Dentista Resta
Estrazione Dente Del Giudizio Consigli Post Operatori
Estrazione Denti Del Giudizio Ottavi In Cartoon Youtube
Denti Del Giudizio Come Riconoscere I Problemi E Come Affrontarli Cso Centro Specialistico Odontoiatrico
Estrazione Dente Del Giudizio Quando Come E Perche Dott Gentili
Dente Del Giudizio E Dolore Perche Viene E Come Contrastarlo Centri Dentistici Primo
Come Capire Se Un Dente E Cariato Studio Dentistico Cozzolino
Dente Del Giudizio Dolore Infiammazione Ascesso Ed Estrazione
Dente Del Giudizio Che Dolore Spididol
Denti Del Giudizio Sfatiamo Qualche Mito Dott Valerio Di Grazia
Quali Rischi Si Corrono Durante L Estrazione Del Dente Del Giudizio Dott Massimo Buda Odontoiatra Napoli Dentista Napoli Implantologia Napoli
Il Dente Del Giudizio A Giudizio Studio Salzano Tirone
Denti Del Giudizio Inclusi Forum Dentale Verona
I Denti Del Giudizio Quando Intervenire
Dente Del Gudizio Sintomi Di Infezione Clinica Villa
Dente Del Giudizio Come Puo Spuntare E Com E L Estrazione
Estrazione Dente Del Giudizio Estruso Youtube
Chirurgia Del Dente Del Giudizio
I Denti Del Giudizio
Dente Del Giudizio Wikipedia
Tutto Sui Denti Del Giudizio Sintomi Cure Quando Estrarli
Il Dente Del Giudizio A Giudizio Studio Salzano Tirone
Parestesia Differita Dopo L Estrazione Di Un Dente Del Giudizio
Dente Del Giudizio Quando L Estrazione E Necessaria Pazienti It
Parestesia Dente Del Giudizio E Nervo Mandibolare Studio Dentistico Prof Checchi Dentista A Bologna
Denti Del Giudizio Tomasicchio Centro Dentistico
Il Dente Del Giudizio L Estrazione E Ormai Intervento Di Routine
Quando Bisogna Togliere I Denti Del Giudizio Centro Medico Vesalio
Denti Del Giudizio E Necessario Rimuoverli
Dente Del Giudizio Quando E Necessario Toglierlo
Tutto Sui Denti Del Giudizio Sintomi Cure Quando Estrarli
Mantenere Il Dente Del Giudizio Quando Si Puo Lasciare Al Suo Posto
Dente Del Giudizio Estrazione E Rimedi Efficaci Equipemotta Portale Sui Denti
Dente Del Gudizio Sintomi Di Infezione Clinica Villa
Il Dente Del Giudizio Spesso Causa Di Dolorose Patologie Abcsalute
Come Capire Se Un Dente E Cariato Studio Dentistico Cozzolino
Togliere I Denti Del Giudizio Tipologie Di Intervento E Costi
Denti Del Giudizio Tomasicchio Centro Dentistico
Carie Dente Del Giudizio Estrarre O Curare Studio Dentistico Marconi
Denti Del Giudizio Informazioni Utili Studio Dentistico Ferro
Dente Del Giudizio 3 Sintomi Che Indicano Dentista Italiano A Londra
Denti Del Giudizio Paure Dubbi E Risposte Agora Medi
Tutto Sui Denti Del Giudizio Sintomi Cure Quando Estrarli
Dolore Al Dente Del Giudizio Possibile Pericoronite
Estrazione Dente Del Giudizio Costo E Tutto Quello Che Devi Sapere
I Denti Del Giudizio
Denti Del Giudizio Tutto Quello Che Bisogna Sapere
Dente Del Giudizio Dolore Estrazione
Estrazione Dente Del Giudizio Ecco Come Funziona E Quando E Necessaria
I Denti Del Giudizio Quando Toglierli Implantologia Cannizzo Milano
Dente Del Giudizio Sintomi Dolore E Mal Di Testa E Problemi Che Ci Sono
A Luglio Dovrei Togliere Il Dente Del Giudizio Inferiore Destro In Quanto Storto Incluso
Estrazioni Di Denti Del Giudizio Inclusi Studio Deodato
I Denti Del Giudizio
Denti Del Giudizio Quando E Come Intervenire
La Pericoronite Del Dente Del Giudizio Medicitalia It
Problemi Ai Denti Del Giudizio Infiammazioni Occlusioni Trattamenti Dentale Tour De Dental Per Un Sorriso Sano
Rimozione Dente Del Giudizio Quando E Necessaria Dentista Bologna Microdent Dental Spa
Dente Del Giudizio Incluso Cause E Cure I Dentisti Di Famiglia
Estrazione Dente Del Giudizio E Pericoronarite C Youtube
Pericoronite Studiodontoiatricocappelli
Q Tbn And9gcsyfts4zj4azgvdqqqhqdqropcpswnx5wankhbt16b6lznujmmi Usqp Cau
Dente Del Giudizio Estrazione Ospedale Pediatrico Bambino Gesu
Molare Wikipedia
Dente Del Giudizio Sintomi Dolore E Mal Di Testa E Problemi Che Ci Sono
Denti Del Giudizio A 40 Anni Studio Dentistico Marconi Studio Dentistico Marconi
Estrazione Dei Molari Del Giudizio Rischi E Procedure Dentisti A Napoli Studio Dentistico Napoli
Quando E Perche Togliere Il Dente Del Giudizio Dentisti Codogno
Denti Del Giudizio Paure Dubbi E Risposte Agora Medi
Denti Del Giudizio Dentisti Selezionati Opi


