T Bet
President of Portland economics firm says 'Don't Bet Against Portland' Lincoln Graves, KATU Staff 12/10/ Nashville bombing exposed 'Achilles heel' in wireless network.
T bet. Multiple Tbet functions playing a role in Th cell differentiation Induction of Tbet expression through activation of STAT1 and STAT4 directly stimulates the transcription of Tboxbinding elementcontaining genes, such as IFNG, IL12RB2, and CXCR3, thereby enhancing Th1 cell developmentTBet undergoes serine phosphorylation at S508 and then downregulates IL2 production in Th1 cells by. Don't bet on high times in Atlantic City casinos when marijuana is legal David Danzis Dec 13, Dec 13, ;. Tbet controls the upregulated expression of the Th1 signature cytokine, IFNγ, the IL12Rβ2 subunit and the Runx3 transcription factor and can repress the function of other transcriptional regulators, such as GATA3 (master regulator of Th2 development) and the expression of other cytokines including IL2, IL4 and IL5.
Although Tbet was not required for the development of THGM cells, it was essential for their encephalitogenicity These findings demonstrate that THGM cells constitute a distinct population of TH cells with lineage characteristics that are poised to adopt a TH1 phenotype and promote neuroinflammation. Transcription Factor T Bet TBX21 encodes the transcription factor Tbox expressed in T cells (Tbet), which has been implicated in asthma pathogenesis and influences naïve T lymphocyte development through induction of type 1 T helper (Th1) cells and the suppression of type 2 T helper (Th2) cells from naïve T lymphocytes. Skip Bayless Don't bet against Brady's Bucs 'cooking offense' heading into New Orleans UNDISPUTED Tom Brady and the Tampa Bay Buccaneers got their postseason off on the right foot with a win in.
Security Think Tank Don’t bet on a new normal just yet After a year of unprecedented disruption thanks to Covid19, it looks like remote working is set to remain with us for now, which means. The post Tesla is Facing Louder Questions, But Don’t Bet Against It appeared first on InvestorPlace The views and opinions expressed herein are the views and opinions of the author and do not. 1 {{featured_button_text}} The Botanist, a medical marijuana dispensary, sits.
Tbet/TBX21 Products Tbox expressed in T cells (Tbet), also known as Tbox transcription factor TBX21, is a 62 kDa member of the Tbox family of transcription factors and the Tbr1 subfamily Human Tbet is 535 amino acids in length and contains a Tbox DNA binding domain (aa ) Human Tbet shares % aa sequence identity with mouse Tbet. 1 {{featured_button_text}} The Botanist, a medical marijuana dispensary, sits. Bet You Didn’t Bet on Trump Being ’s ‘Most Admired Man’ Among Americans December 29, by Towleroad Leave a Comment Can we get a recount?.
Sports gambling bills to be introduced in Minn Legislature, but don't bet they'll pass Tom Hauser Updated January 15, 21 0627 PM Created January 15, 21 0518 PM Minnesota. Don't bet on high times in Atlantic City casinos when marijuana is legal David Danzis Dec 13, Dec 13, ;. TBX21 (TBox Transcription Factor 21) is a Protein Coding gene Diseases associated with TBX21 include Asthma, Nasal Polyps, And Aspirin Intolerance and AsthmaAmong its related pathways are IL27mediated signaling events and IL12 signaling mediated by STAT4Gene Ontology (GO) annotations related to this gene include DNAbinding transcription factor activity and transcription regulatory region.
Tbet/TBX21 Products Tbox expressed in T cells (Tbet), also known as Tbox transcription factor TBX21, is a 62 kDa member of the Tbox family of transcription factors and the Tbr1 subfamily Human Tbet is 535 amino acids in length and contains a Tbox DNA binding domain (aa ) Human Tbet shares % aa sequence identity with mouse Tbet. Trump is being pelted in the stocks now – but don’t bet against him wriggling free Simon Tisdall The chances of seeing the outgoing president in an orange jumpsuit are low – even as the. Transcription Factor T Bet TBX21 encodes the transcription factor Tbox expressed in T cells (Tbet), which has been implicated in asthma pathogenesis and influences naïve T lymphocyte development through induction of type 1 T helper (Th1) cells and the suppression of type 2 T helper (Th2) cells from naïve T lymphocytes.
Originally described over a decade ago as a T cell transcription factor regulating T helper 1 cell lineage commitment, Tbet is now recognized as having an important role in many cells of the adaptive and innate immune system. Tbet 4,499 likes · 1 talking about this Tbet stone jewels wwwtbetit. TBX21 (TBox Transcription Factor 21) is a Protein Coding gene Diseases associated with TBX21 include Asthma, Nasal Polyps, And Aspirin Intolerance and AsthmaAmong its related pathways are IL27mediated signaling events and IL12 signaling mediated by STAT4Gene Ontology (GO) annotations related to this gene include DNAbinding transcription factor activity and transcription regulatory region.
Born Terrence Thorton, this Virginiabased rapper is one half of the hardcore duo The Clipse Known for his blunt delivery and druggame documentary lyrics, Pusha struck a chord on The Clipse LPs. Tbet B cells demonstrated an activated phenotype, a distinct transcriptional profile, and were enriched for expression of the antiviral immunoglobulin isotypes IgG1 and IgG3 Tbet B cells expanded following yellow fever virus and vaccinia virus vaccinations and also during early acute HIV infection. Tbet is a Th1specific Tbox transcription factor critical to the development of the Th1 CD4 T cell lineage This is known based on the observations that TBet deficient mice have impaired Th1 cell development, and that ectopic expression of TBet results in development skewed to the Th1 lineage.
I wouldn't bet on (something) I think it is very unlikely that something will happen or be the case A "John said he'd be here by 8" B "Yeah, I wouldn't bet on it John has never been on time for anything in his life" Politicians talk about reform all the time, but I wouldn't bet on any legislation come out of Washington anytime soon See also bet. Tbet, also known as TBX21, is a Tcell specific transcription factor containing a single Tbox DNAbinding domain It controls the expression of the TH1 cytokine, interferongamma Both Th1 and Th17 cells are crucial in immune regulation and autoimmune disease development. Tbet CD11c B cells were significantly increased after cGVHD induction IgG2a is known as the most pathogenic antibody in autoimmune disease 30, 31 Many studies have demonstrated that Tbet is critical for IgG2a class switching 32, 33 and IgG2a memory response.
Explore tbet's 1,086 photos on Flickr!. Tbet CD11c B cells were significantly increased after cGVHD induction IgG2a is known as the most pathogenic antibody in autoimmune disease 30, 31 Many studies have demonstrated that Tbet is critical for IgG2a class switching 32, 33 and IgG2a memory response. I wouldn’t bet against Tony if he had to touch the ball I think he ended up touching it times — I think it was 12 rushing, and I forget the exact number, eight to 10 passes he caught So.
Tbet, also known as Tbox transcription factor Tbet, is considered to be a "master regulator" of Th1 lymphoid development controlling the production of the cytokine IFNγ Tbet is widely expressed in hematopoietic cells including stem cells, NK cells, B cells, and T cells. Multiple Tbet functions playing a role in Th cell differentiation Induction of Tbet expression through activation of STAT1 and STAT4 directly stimulates the transcription of Tboxbinding elementcontaining genes, such as IFNG, IL12RB2, and CXCR3, thereby enhancing Th1 cell developmentTBet undergoes serine phosphorylation at S508 and then downregulates IL2 production in Th1 cells by. Tbet is considered to function as a master regulator of Th1type immunity , and Tbet is known to promote antiviral B cell responses by driving IgG2a/c class switching in mice (6, 19, 22, 23) Our findings suggest that Tbet similarly regulates human B cells during Th1 immune responses, as we clearly demonstrate viral infection–induced Tbet.
Explore tbet's 1,086 photos on Flickr!. Don't bet on it definition 1 used to tell someone that you think something is unlikely to be true or to happen 2 used to Learn more. TBet Tanzania, Dar Es Salam, Dar Es Salaam, Tanzania 38,026 likes · 103 talking about this · 6 were here We have the best european Leagues and football from Africa Sign up and use your TBet.
Tbet/TBX21 Products Tbox expressed in T cells (Tbet), also known as Tbox transcription factor TBX21, is a 62 kDa member of the Tbox family of transcription factors and the Tbr1 subfamily Human Tbet is 535 amino acids in length and contains a Tbox DNA binding domain (aa ) Human Tbet shares % aa sequence identity with mouse Tbet. The transcription factor Tbet, encoded by Tbx21, has been shown to play a critical role for the effector function of innate and adaptive lymphocytes in response to intracellular pathogens via regulation of IFNγ production 1 – 8. I wouldn't bet on (something) I think it is very unlikely that something will happen or be the case A "John said he'd be here by 8" B "Yeah, I wouldn't bet on it John has never been on time for anything in his life" Politicians talk about reform all the time, but I wouldn't bet on any legislation come out of Washington anytime soon See also bet.
Differential expression of the transcription factor Tbet (encoded by the gene Tbx21) is known to delineate functionally distinct T cell subsetsCertain memory B cells (MBCs) also express Tbet, although their core properties and relationship to Tbet − MBCs remain unclear Tbet MBCs have been best characterized in the context of dysregulated immune responses such as systemic autoimmune. TBet Tanzania, Dar Es Salam, Dar Es Salaam, Tanzania 38,026 likes · 103 talking about this · 6 were here We have the best european Leagues and football from Africa Sign up and use your TBet. Tbet, a Tbox transcription factor, is expressed in CD4 T lymphocytes committed to Th1 Tcell development and may participate in immunoglobulin class switching in B lymphocytes Tbet is also expressed in a subset of Tcell lymphomas, particularly those that express other markers of Th1 T cell dif.
Born Terrence Thorton, this Virginiabased rapper is one half of the hardcore duo The Clipse Known for his blunt delivery and druggame documentary lyrics, Pusha struck a chord on The Clipse LPs. Born Terrence Thorton, this Virginiabased rapper is one half of the hardcore duo The Clipse Known for his blunt delivery and druggame documentary lyrics, Pusha struck a chord on The Clipse LPs. Tbox transcription factor TBX21, also called Tbet (Tbox expressed in T cells) is a protein that in humans is encoded by the TBX21 gene.
Don't Bet On It By Christopher Robbins Jan 22, 21 701 am New Yorkers play slots at the Acqueduct racino in Queens in 12 Seth Wenig/AP/ Real estate. The post Tesla is Facing Louder Questions, But Don’t Bet Against It appeared first on InvestorPlace The views and opinions expressed herein are the views and opinions of the author and do not. Bet You Didn’t Bet on Trump Being ’s ‘Most Admired Man’ Among Americans December 29, by Towleroad Leave a Comment Can we get a recount?.
Don’t bet on it January 21, 713pm Text settings Comments Share He did it Donald Trump made it through four years, not an accomplishment many of his detractors. I wouldn’t bet against Tony if he had to touch the ball I think he ended up touching it times — I think it was 12 rushing, and I forget the exact number, eight to 10 passes he caught So. Don't Bet on It Jack Shafer, Politico January 12, 21 (AP Photo/Alex Brandon).
Skip Bayless Don't bet against Brady's Bucs 'cooking offense' heading into New Orleans UNDISPUTED Tom Brady and the Tampa Bay Buccaneers got their postseason off on the right foot with a win in. Through the first three quarters of , AMC paid $2337 million in interest expense, or an annualized rate of $311 million, on $58 billion in corporate borrowings. Tbet/TBX21 Products Tbox expressed in T cells (Tbet), also known as Tbox transcription factor TBX21, is a 62 kDa member of the Tbox family of transcription factors and the Tbr1 subfamily Human Tbet is 535 amino acids in length and contains a Tbox DNA binding domain (aa ) Human Tbet shares % aa sequence identity with mouse Tbet.
Don't Bet on It RealClearPolitics Subscribe Sign In Subscribe AdFree Trump Media Empire?. Don’t bet on it January 21, 713pm Text settings Comments Share He did it Donald Trump made it through four years, not an accomplishment many of his detractors. Upon detection of antigen, CD4 T helper (Th) cells can differentiate into a number of effector types that tailor the immune response to different pathogens Alternative Th1 and Th2 cell fates are specified by the transcription factors Tbet and GATA3, respectively Only a handful of target genes are known for these two factors and because of this, the mechanism through which Tbet and GATA3.
Tbet (14) Product Catalog Site Content Technical Support & Resources Sort by AntibodiesPrimary (14 of 14) results found BD Horizon™ BV711 Mouse AntiTbet Clone O446 Size50 Tests StatusRUO Cat No5633 Quick View $ BD Pharmingen™ Purified Mouse antiTbet. Nowadays, there are many hobbies that didn’t exist years ago Even though gaming was also popular in the 90s, people usually played for fun Many gamers play casually even today, but you can also find many people who do this for a living The fact that you can earn a lot of money by playing computer games is mindblowing even today If you take a look at some of the most popular games in. Tbet is critical to maintain inflammatory DCs during T gondii infection To establish Tbet’s protective role in host defense against intracellular pathogens, we implemented the wellestablished intraperitoneal (ip) model of infection with T gondii that triggers and depends on a robust CD4 T H 1derived IFNγ response 10,24.
Differential expression of the transcription factor Tbet (encoded by the gene Tbx21) is known to delineate functionally distinct T cell subsetsCertain memory B cells (MBCs) also express Tbet, although their core properties and relationship to Tbet − MBCs remain unclear Tbet MBCs have been best characterized in the context of dysregulated immune responses such as systemic autoimmune. Tbet/TBX21 Products Tbox expressed in T cells (Tbet), also known as Tbox transcription factor TBX21, is a 62 kDa member of the Tbox family of transcription factors and the Tbr1 subfamily Human Tbet is 535 amino acids in length and contains a Tbox DNA binding domain (aa ) Human Tbet shares % aa sequence identity with mouse Tbet.
Expanded Lung T Bet Rorgt Cd4 T Cells In Sarcoidosis Patients With A Favourable Disease Phenotype European Respiratory Society
T Bet Eomes Balance Effector Function And Proliferation Of Cytomegalovirus Specific Cd8 T Cells During Primary Infection Differentiates The Capacity For Durable Immune Control The Journal Of Immunology
Requirements For The Differentiation Of Innate T Bet High Memory Phenotype Cd4 T Lymphocytes Under Steady State Nature Communications
T Bet のギャラリー
The Role Of Protein Modifications Of T Bet In Cytokine Production And Differentiation Of T Helper Cells
Genetic Variants Alter T Bet Binding And Gene Expression In Mucosal Inflammatory Disease
Expanded Lung T Bet Rorgt Cd4 T Cells In Sarcoidosis Patients With A Favourable Disease Phenotype European Respiratory Society
Effector Or Exhausted Tcf 1 Seals T Cell Fate
T Bet Or Not T Bet Science
Frontiers Characterization Of T Bet And Eomes In Peripheral Human Immune Cells Immunology
Anti T Bet Tbx21 Antibody 4b10 Ab Is Not Available
Tcr Cd28 Induced Expression Of Mir 31 Is Increased By T Bet And Download Scientific Diagram
Anti T Bet Ce Ivd Pour Ihc Pathologies Hematologiques Clinisciences
Context Dependent Role For T Bet In T Follicular Helper Differentiation And Germinal Center Function Following Viral Infection Sciencedirect
Core Ac Uk Download Pdf Pdf
Human T Bet Tbx21 Alexa Fluor 4 Conjugated Antibody Icg 025 R D Systems
Alexa Fluor 647 Anti T Bet Antibody Anti T Bet 4b10
Role Of T Bet In Nk Cell Development And Function In Mice A Download Scientific Diagram
T Bet Mediated Tim 3 Expression Dampens Monocyte Function During Chronic Hepatitis C Virus Infection Yi 17 Immunology Wiley Online Library
Frontiers Runx3 And T Bet In Immunopathogenesis Of Ankylosing Spondylitis Novel Targets For Therapy Immunology
T Bet Antibody 4b10 Scbt Santa Cruz Biotechnology
Www Cell Com Immunity Pdfextended S1074 7613 17 2
Don T Bet On Blondes 1935 Imdb
T Bet Antibody 4b10 Scbt Santa Cruz Biotechnology
Transcription Factor T Bet Orchestrates Lineage Development And Function In The Immune System Trends In Immunology
T Bet Eomes Balance Effector Function And Proliferation Of Cytomegalovirus Specific Cd8 T Cells During Primary Infection Differentiates The Capacity For Durable Immune Control The Journal Of Immunology
Why The Ncaa Is Trying To Trademark Don T Bet On It
Q Tbn And9gcrhobhl1vigilkqvjiqktwp1ftaab6vlqm2psac134 Usqp Cau
The Evolving Role Of T Bet In Resistance To Infection Nature Reviews Immunology X Mol
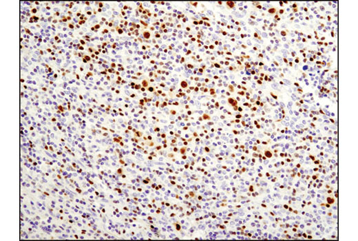
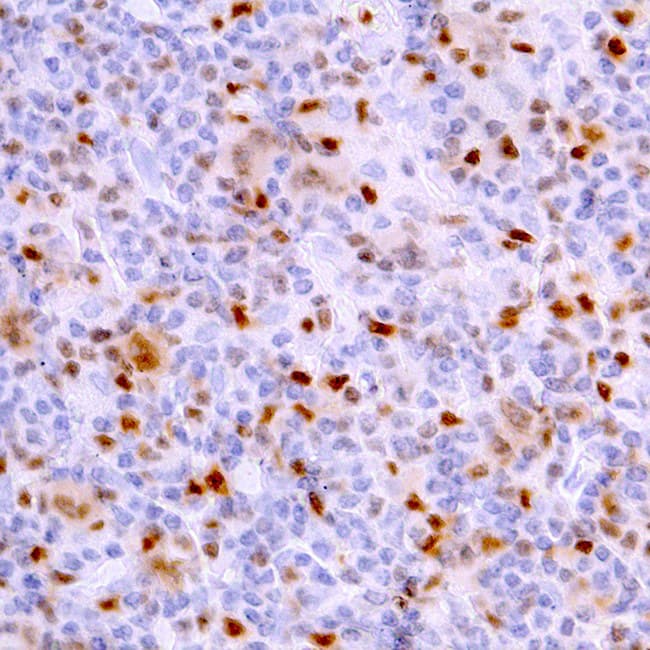
T Bet Tbx21 D6n8b Xp Rabbit Mab Cell Signaling Technology
T Bet Enhances Regulatory T Cell Fitness And Directs Control Of Th1 Responses In Crescentic Gn American Society Of Nephrology
T Bet And Eomes Govern Differentiation And Function Of Mouse And Human Nk Cells And Ilc1 Zhang 18 European Journal Of Immunology Wiley Online Library
T Bet Regulates Natural Regulatory T Cell Afferent Lymphatic Migration And Suppressive Function The Journal Of Immunology
Jci Insight T Bet B Cells Are Induced By Human Viral Infections And Dominate The Hiv Gp140 Response
T Bet Lymphocytes Infiltration As An Independent Better Prognostic Indicator For Triple Negative Breast Cancer Springerlink
Expanded Lung T Bet Rorgt Cd4 T Cells In Sarcoidosis Patients With A Favourable Disease Phenotype European Respiratory Society
T Bet A Bridge Between Innate And Adaptive Immunity Nature Reviews Immunology
The Role Of Protein Modifications Of T Bet In Cytokine Production And Differentiation Of T Helper Cells
Tbet Is A Critical Modulator Of Foxp3 Expression In Autoimmune Graft Versus Host Disease Haematologica
Genetic Variants Alter T Bet Binding And Gene Expression In Mucosal Inflammatory Disease
Q Tbn And9gcq3et2q7abtytulgspux3qi5rwpevoqcituvypf7sfliijb6ic5 Usqp Cau
Age Associated B Cells A T Bet Dependent Effector With Roles In Protective And Pathogenic Immunity The Journal Of Immunology
Ijms Free Full Text Effect Of Cytomegalovirus Cmv And Ageing On T Bet And Eomes Expression On T Cell Subsets
Human T Bet Tbx21 Antibody Mab R D Systems
T Bet Antibody Efluor 660 50 55
T Bet In Disease Nature Immunology
T Bet Antibody Apc 17 55
Pe Anti T Bet Antibody Anti T Bet 4b10
転写因子t Betはth1細胞においてi型インターフェロン応答を抑制する ライフサイエンス 新着論文レビュー
Cancerres crjournals Org Content 79 7 1635 Full Text Pdf
T Bet Is Rapidly Induced By Interferon G In Lymphoid And Myeloid Cells Pnas
T Bet Enhances Regulatory T Cell Fitness And Directs Control Of Th1 Responses In Crescentic Gn American Society Of Nephrology
Expanded Lung T Bet Rorgt Cd4 T Cells In Sarcoidosis Patients With A Favourable Disease Phenotype European Respiratory Society
The Evolving Role Of T Bet In Resistance To Infection Semantic Scholar
The Transcription Factor T Bet Is Induced By Multiple Pathways And Prevents An Endogenous Th2 Cell Program During Th1 Cell Responses Sciencedirect
How Do Some Tfh Cells Produce Ifn 𝛾 Immunopaedia
The Transcription Factors T Bet And Gata 3 Control Alternative Pathways Of T Cell Differentiation Through A Shared Set Of Target Genes Pnas
T Bet Antibody Pe 12 55
Ijms Free Full Text The Transcription Factor Tcf1 In T Cell Differentiation And Aging Html
Don T Bet On Women Wikipedia
T Bet Lymphocytes Infiltration As An Independent Better Prognostic Indicator For Triple Negative Breast Cancer Springerlink
T Box Transcription Factor T Bet A Key Player In A Unique Type Of B Cell Activation Essential For Effective Viral Clearance Pnas
T Bet Antibody 14 55
Control Of Effector Cd8 T Cell Function By The Transcription Factor Eomesodermin Science
The Evolving Role Of T Bet In Resistance To Infection Semantic Scholar
Anti T Bet Antibody Products Biocompare
T Bet Transcription Factor Promotes Antibody Secreting Cell Differentiation By Limiting The Inflammatory Effects Of Ifn G On B Cells Abstract Europe Pmc
Ijms Free Full Text Effect Of Cytomegalovirus Cmv And Ageing On T Bet And Eomes Expression On T Cell Subsets
Loss Of T Bet Confers Survival Advantage To Influenza Bacterial Superinfection The Embo Journal
Singular Role For T Bet Cxcr3 Regulatory T Cells In Protection From Autoimmune Diabetes Pnas
転写因子t Betはth1細胞においてi型インターフェロン応答を抑制する ライフサイエンス 新着論文レビュー
The Transcription Factor T Bet Limits Amplification Of Type I Ifn Transcriptome And Circuitry In T Helper 1 Cells Sciencedirect
1
Ifng Induces Epigenetic Programming Of Human T Bethi B Cells And Promotes Tlr7 8 And Il 21 Induced Differentiation Elife
T Bet Tbx21 D6n8b Xp Rabbit Mab Cell Signaling Technology
Clinical Significance Of T Bet Gata 3 And l 6 Transcription Factor Expression In Bladder Carcinoma Journal Of Translational Medicine Full Text
T Bet Enhances Regulatory T Cell Fitness And Directs Control Of Th1 Responses In Crescentic Gn American Society Of Nephrology
Sports Wagering Ncaa Org The Official Site Of The Ncaa
T Bet And Eomes Determine Memory T Cell Subsets Upon Activation Download Scientific Diagram
Anti T Bet Tbx21 Antibody 4b10 Ab Is Not Available
T Bet A Bridge Between Innate And Adaptive Immunity Nature Reviews Immunology
T Bet And Eomes Are Differentially Linked To The Exhausted Phenotype Of Cd8 T Cells In Hiv Infection Global Medical Discovery
T Bet And Eomes Regulate The Balance Between The Effector Central Memory T Cells Versus Memory Stem Like T Cells
Cd8 T Cell Differentiation Choosing A Path Through T Bet Sciencedirect
The Transcription Factor T Bet Resolves Memory B Cell Subsets With Distinct Tissue Distributions And Antibody Specificities In Mice And Humans Immunity X Mol
Q Tbn And9gctzk9f6eid Cyaynljagaz7lojltdl6 Km0pqx7r Mvf1rk4g6 Usqp Cau
Tbet
Frontiers The Transcription Factor T Bet Is Required For Optimal Type I Follicular Helper T Cell Maintenance During Acute Viral Infection Immunology
T Bet And Eomes Govern Differentiation And Function Of Mouse And Human Nk Cells And Ilc1 Zhang 18 European Journal Of Immunology Wiley Online Library
Recombinant Anti T Bet Tbx21 Antibody Epr9301 Ab Abcam
Apc Anti T Bet Antibody Anti T Bet 4b10
Transcription Factor T Bet In B Cells Modulates Germinal Center Polarization And Antibody Affinity Maturation In Response To Malaria Sciencedirect
C Maf Restrains T Bet Driven Programming Of Ccr6 Negative Group 3 Innate Lymphoid Cells Elife
Www Cell Com Immunity Pdfextended S1074 7613 16 X
T Bet Expressie Door Th Cellen Bevordert Type 1 Ontsteking Maar Is Niet Nodig Voor Colitis Mucosale Immunologie Artikelen
Tbet Is A Critical Modulator Of Foxp3 Expression In Autoimmune Graft Versus Host Disease Haematologica
The Transcription Factors T Bet And Eomes Control Key Checkpoints Of Natural Killer Cell Maturation Sciencedirect
Frontiers Runx3 And T Bet In Immunopathogenesis Of Ankylosing Spondylitis Novel Targets For Therapy Immunology
T Bet Eye Drop Pack Of 50 Rs 300 Packet Nusight Pharmaceutical Private Limited Id
T Bet And Eomes Govern Differentiation And Function Of Mouse And Human Nk Cells And Ilc1 Zhang 18 European Journal Of Immunology Wiley Online Library
Frontiers T Bet And Eomesodermin In Nk Cell Development Maturation And Function Immunology
T Bet Eomes Balance Effector Function And Proliferation Of Cytomegalovirus Specific Cd8 T Cells During Primary Infection Differentiates The Capacity For Durable Immune Control The Journal Of Immunology
T Bet Tbx21 D6n8b Xp Rabbit Mab Cell Signaling Technology
Fcrl5 And T Bet Define Influenza Specific Memory B Cells That Predict Long Lived Antibody Responses Biorxiv
T Bet And Pd 1 Expression Inversely Correlates During Chronic Infection Download Scientific Diagram


