Nervo Olfattivo Danneggiato
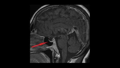
Ischemia del nervo ottico posttramautica Diagnosi e trattamento con staminali e trapianto liquido.
Nervo olfattivo danneggiato. La perdita di olfatto che si verifica negli anziani, ma anche in persone più giovani a causa di altri fattori, potrebbe avere una soluzioneUn gruppo di ricercatori della Tufts University del Massachusetts è infatti riuscito a rigenerare l’epitelio olfattivo nel naso dei topi coltivando delle cellule staminali in provetta. Nervo olfattivo da speciali fibre viscerali sensoriali dalla parte superiore della mucosa nasale e cellule olfattive nasali nel conflitto centrale superiore raccolte in più di pezzi filamenti olfattivi (nervo olfattivo), che indossa un setaccio nel cranio, nel bulbo olfattivo, trasduzione olfattiva. Occhio Nervo Sciatico Nervi Del Sistema Periferico Nervo Ottico Fibre Nervose Terminazioni Nervose Nervo Surale Nervo Mediano Nervo Facciale Nervo Tibiale Nervo Ulnare Nervo Femorale Nervi Spinali Nervo Trigemino Nervo Frenico Nervo Radiale Nervi Cranici Radici Nervose Spinali Nervo Oftalmico Tessuto Nervoso Nervo Mandibolare Nervo Cocleare.
Decorso del nervo ottico e rapporto con altre strutture anatomiche Principali malattie del nervo ottico Il nervo ottico rappresenta l'inizio delle vie ottiche, ossia quell'insieme di strutture che, partendo dalla retina, collegano il bulbo oculare al cervello Questa componente è indispensabile per attivare in modo corretto la visione. Decorso del nervo ottico e rapporto con altre strutture anatomiche Principali malattie del nervo ottico Il nervo ottico rappresenta l'inizio delle vie ottiche, ossia quell'insieme di strutture che, partendo dalla retina, collegano il bulbo oculare al cervello Questa componente è indispensabile per attivare in modo corretto la visione. Poiché i pazienti possono danneggiare un solo nervo olfattivo alla volta, che non possono essere immediatamente a conoscenza del danno, attribuendo una diminuzione del senso dell'olfatto per il naso chiuso o non se ne accorga la sensibilità ridotta agli odori.
Nervo Ottico Danneggiato cause e sintomi Blog di News Nervo ottico, notizie ;. Non ti preoccupare troppo in quanto può essere trattata con semplici rimedi naturali Questi sono i sensi che diamo per scontato e quando li perdiamo, ci rendiamo conto di quanto siano importanti. Articoli, video ed opinioni su Nervo ottico nell'ambito medico sanitari Il nervo ottico lascia l'orbita ed entra nella cavità cranica attraverso il forame ottico dello sfenoide, da qui, in corrispondenza del solco dello sfenoide, le fibre del nervo ottico si.
Il nervo olfattivo corrisponde al I nervo cranico ed è esclusivamente di tipo sensitivo È anche l'unico nervo cranico a dirigersi direttamente verso la corteccia telencefalica La sua funzione è quella di recepire gli stimoli olfattivi che giungono nelle cavità nasali e trasportarli all'encefalo sotto forma di impulsi elettrici È uno dei più corti nervi sensoriali. Il nervo olfattivo (I) trasmette l'olfatto Un danno al nervo olfattivo (I) può causare l'incapacità di percepire gli odori , una distorsione dell'olfatto o mancanza o alterazione del gusto Se c'è il sospetto di un cambiamento nel senso dell'olfatto, ogni narice viene testata con sostanze di odori noti, come caffè o sapone. Il tuo nervo olfattivo è responsabile per l'olfatto e la vostra capacità di rilevare i sapori di cibi e bevande che si consumano Danni al nervo olfattivo può essere debilitante e la condizione colpisce molte persone in tutto il mondo.
I nervi infiammati sono, spesso, una patologia di facile risoluzione In altri casi, invece, possono essere un campanello d’allarme per problemi più seri, carenze vitaminiche, soprattutto di B12 o patologie di base correlate I nervi infiammati si definiscono, in medicina, “neuropatia”, in quanto possono dipendere sia da una causa neurologica che da una causa nervosa Indice1. Nervi cranici • 1° Nervo olfattivo • 2° Nervo ottico • 3° Nervo oculomotore • 4° Nervo trocleare (altro oculomotore) • 5° Nervo trigemino • 6° Nervo abducente (altro oculomotore) • 7° Nervo facciale • 8° Nervo acusticovestibolare • 9° Nervo glossofaringeo • 10° Nervo vago • 11° Nervo accessorio spinal Nervo safeno. Ecco cosa fanno i 12 nervi cranici e cosa potrebbe andare perso se il nervo viene danneggiato I Olfattivo fornisce l'olfatto II Ottica comunica le informazioni visive dall'occhio al cervello III Oculomotore controlla numerosi movimenti degli occhi e delle palpebre;.
Se è danneggiato uno dei secondi nervi cranici (il nervo ottico), l’occhio colpito può perdere parzialmente o completamente la vista Se è danneggiato uno qualsiasi dei tre nervi cranici che controllano il movimento dell’occhio (il 3°, il 4° o il 6° nervo cranico), la persona non riesce a muovere gli occhi normalmente. Olfatto il cane non mostra interesse per qualcosa se non lo sente o lo vede, non segue tracce, se gli offri un premio senza farglielo vedere non se ne accorge o se gli metti davanti qualcosa che ha un odore forte e di solito non lo sopporta, come per esempio l'aceto, può essere un segnale che indica che il nervo olfattivo è danneggiato ed è. Nervo olfattivo da speciali fibre viscerali sensoriali dalla parte superiore della mucosa nasale e cellule olfattive nasali nel conflitto centrale superiore raccolte in più di pezzi filamenti olfattivi (nervo olfattivo), che indossa un setaccio nel cranio, nel bulbo olfattivo, trasduzione olfattiva.
Il nervo olfattivo è la coppia di nervi cranici con funzione sensitiva deputata alla trasmissione dell'informazione olfattiva all'encefalo;. Anatomia Il nervo ottico è il secondo di 12 paia di nervi cranici, ma è considerato come parte del sistema nervoso centrale;. Infatti, le fibre sono ricoperte dalla mielina prodotta dagli oligodendrociti, e il nervo ottico è avvolto nelle meningi (dura madre, aracnoide, pia madre) Tecnicamente, assieme al nervo olfattivo, non sono nervi ma una continuazione del sistema nervoso centrale.
Qual è la sua funzione?. Mentre il nervo olfattivo è etichettato come il nervo cranico numero uno, a suggerire l’importanza dell’olfatto, in pratica l’olfatto viene raramente testato (anche dai neurologi) Mentre è vero che il sistema olfattivo negli esseri umani è relativamente piccolo rispetto ad altri mammiferi, l’odore entrambi ci aiutano a goderci la vita e ci proteggono dalle tossine nell’ambiente. Il nervo vestibolococleare, detto anche nervo statoacustico, è l'ottavo nervo cranico, è un nervo sensitivo e trasmette le informazioni codificate a livello dell'orecchio e ha il nucleo a livello del rombencefalo Nel suo decorso si divide in due rami, il nervo vestibolare e il nervo cocleare, destinati alle due parti dell'orecchio interno deputate al senso dell'equilibrio (statico e.
Una lesione al nervo olfattivo può causare varie patologie dell’olfatto, che possono essere di due tipologie quantitative e qualitative Le patologie da alterazione quantitativa dell’olfatto sono rappresentate da iposmia , ovvero parziale riduzione del senso dell’odorato, e anosmia , ovvero totale riduzione del senso dell’odorato. Le osservazioni effettuate nel 19 hanno Indicato che II 9,9% degli alberi era danneggiato (defogliazione superiore al 25%). Un danno al nervo olfattivo (I) può causare l'incapacità di percepire gli odori (anosmia), una distorsione dell'olfatto (parosmia) o mancanza o alterazione del gusto Schade aan de nervus olfactorius kan ervoor zorgen dat iemand niet meer kan ruiken (anosmie), of leiden tot een verstoring van de reukzin (parosmie), of een verstoring of gebrek aan smaak.
Se il nervo olfattivo è danneggiato da un trauma cranico o di altri traumi, i bambini possono soffrire di anosmia permanente Tumori cerebrali o disturbi psicologici possono anche portare a una perdita permanente di odore Un altro tipo permanente è congenita, o ereditato, anosmia Significato. Il nervo olfattivo (I) comunica la sensazione dell'olfatto al cervello Le lesioni che provocano anosmia, o perdita dell'olfatto, sono state descritte in precedenza a causa di traumi, danni o lesioni alla testa, specialmente nel caso in cui un paziente colpisca la parte posteriore della testa. Il nervo olfattivo, infatti, è collegato, attraverso il cosiddetto bulbo olfattivo, all'epitelio olfattivo delle cavità nasali, il quale ha l'importante compito di captare gli odori e tramutarli in segnali comprensibili al sistema nervoso umano.
Un team di ricercatori ha cresciuto in laboratorio cellule di topo in grado di riparare il tessuto olfattivo danneggiato L’esperimento apre alla possibilità di terapie su pazienti umani. Il nervo olfattivo (I) comunica la sensazione dell'olfatto al cervello Le lesioni che provocano anosmia, o perdita dell'olfatto, sono state descritte in precedenza a causa di traumi, danni o lesioni alla testa, specialmente nel caso in cui un paziente colpisca la parte posteriore della testa. Nervo ottico FAQ Cerca informazioni mediche Occhioallaretinait nasce con l'obiettivo di informare e aggiornare l'opinione pubblica sulle malattie degenerative e vascolari della retina, macula vitreo e nervo ottico(occhioallaretinait)Le cause sono varie patologie metaboliche, infettive, tossiche, dovute a malattie demielinizzanti (che danneggiano il rivestimento esterno dei nervi.
Il nervo ottico è uno dei dodici nervi cranici Si può definire una proiezione esterna del sistema nervoso centrale grazie a cui gli impulsi luminosi percepiti dalla retina vengono veicolati verso la corteccia occipitale dove vengono convertiti in sensazione visiva E’ composto da oltre un milione di fibre che si raccolgono in fasci separati da. I nervi infiammati sono, spesso, una patologia di facile risoluzione In altri casi, invece, possono essere un campanello d’allarme per problemi più seri, carenze vitaminiche, soprattutto di B12 o patologie di base correlate I nervi infiammati si definiscono, in medicina, “neuropatia”, in quanto possono dipendere sia da una causa neurologica che da una causa nervosa Indice1. Controlla anche la dimensione delle pupille in risposta alla luce.
Se danneggiato, il nervo vestibolare può manifestare la sensazione di rotazione e vertigini La funzione del nervo vestibolare può essere analizzata ponendo acqua calda e fredda nelle orecchie e osservando movimenti oculari stimolazione calorica. Coltivate per la prima volta in provetta delle cellule staminali capaci di rigenerare l'epitelio olfattivo del naso l'esperimento, condotto per ora con cellule di topo, apre alla possibilità di. Mentre il nervo olfattivo è etichettato come nervo cranico numero uno, suggerendo l'importanza dell'olfatto, in pratica il senso dell'olfatto è raramente testato (anche dai neurologi) Mentre è vero che il sistema olfattivo nell'uomo è relativamente piccolo rispetto ad altri mammiferi, l'olfatto entrambi ci aiutano a goderci la vita e ci.
Il nervo olfattivo (I) comunica la sensazione dell'olfatto al cervello Le lesioni che provocano anosmia, o perdita dell'olfatto, sono state descritte in precedenza a causa di traumi, danni o lesioni alla testa, specialmente nel caso in cui un paziente colpisca la parte posteriore della testa. Il nervo olfattivo, infatti, è collegato, attraverso il cosiddetto bulbo olfattivo, all'epitelio olfattivo delle cavità nasali, il quale ha l'importante compito di captare gli odori e tramutarli in segnali comprensibili al sistema nervoso umano. Soltanto il cervello sembra risparmiato anche se il nervo olfattivo (orlatto) viene attaccato Danni al fegato procurati dal coronavirus sono stati segnalati in uno studio pubblicato il 14 marzo nella rivista Liver International, ripreso da Le Figaro, realizzato da ricercatori dell’università delle scienze di Wuhan, la città cinese dove.
La perdita di olfatto che si verifica negli anziani, ma anche in persone più giovani a causa di altri fattori, potrebbe avere una soluzioneUn gruppo di ricercatori della Tufts University del Massachusetts è infatti riuscito a rigenerare l’epitelio olfattivo nel naso dei topi coltivando delle cellule staminali in provetta. Occhio Nervo Sciatico Nervi Del Sistema Periferico Nervo Ottico Fibre Nervose Terminazioni Nervose Nervo Surale Nervo Mediano Nervo Facciale Nervo Tibiale Nervo Ulnare Nervo Femorale Nervi Spinali Nervo Trigemino Nervo Frenico Nervo Radiale Nervi Cranici Radici Nervose Spinali Nervo Oftalmico Tessuto Nervoso Nervo Mandibolare Nervo Cocleare. Dal bulbo olfattivo, organo pari, nasce il tratto olfattivo (II neurone) che si dirige in dietro e, in prossimità del piano emisferico, si divide in STRIA OLFATTORIA LATERALE, INTERMEDIA (INCOSTANTE) E MEDIALE formando il trigono olfattorio II nervo cranico lesione Una lesione del I nervo cranico, crea alterazione degli odori Iposmia→diminuzione dell’odorato;.
La mia piú grande paura è che il nervo olfattivo possa essere danneggiato (nonostante non sappia se qualora fosse danneggiato non sentirei niente di niente o qualcosa si puo sempre sentire). Poiché la perdita dell’odorato è un sintomo comune, i neurologi si sono chiesti se il nervo olfattivo potrebbe fornire un percorso di ingresso “Tutti erano preoccupati che questa fosse una possibilità”, dice Michael Ma le prove non sembrano confermare questa via di accesso. Il nervo ottico è avvolto dalle meningi che proteggono anche l’intero cervello (sono composte da tre strati dura madre, aracnoide e pia madre) È simile a un cavo elettrico costituito da tanti fili al proprio interno, ciascuno dei quali è protetto da una guaina chiamata “mielina”.
Il nervo glossofaringeo (in lingua inglese glossopharyngeal nerve) è il nono nervo appartenente al gruppo dei nervi cranici (IX nervo cranico) E' un nervo pari e simmetrico, cioè esiste un nervo glossofaringeo di destra ed uno di sinistra Funzioni Il IX nervo è un nervo misto è motore per il muscolo stilofaringeo e per il costrittore superiore della faringe;. Senso dell’olfatto danneggiato o alterato – Staminali coltivate in provetta per ripararlo “Possono rigenerare i tessuti danneggiati del naso Coltivate per la prima volta in provetta delle cellule staminali capaci di rigenerare l’epitelio olfattivo del naso l’esperimento, condotto per ora con cellule di topo, è un’importante prova di principio che apre alla possibilità di. Il nervo ottico è uno dei dodici nervi cranici Si può definire una proiezione esterna del sistema nervoso centrale grazie a cui gli impulsi luminosi percepiti dalla retina vengono veicolati verso la corteccia occipitale dove vengono convertiti in sensazione visiva E’ composto da oltre un milione di fibre che si raccolgono in fasci separati da.
Il nervo olfattivo è la coppia di nervi cranici con funzione sensitiva deputata alla trasmissione dell'informazione olfattiva all'encefalo;. Il nervo ottico è avvolto dalle meningi che proteggono anche l’intero cervello (sono composte da tre strati dura madre, aracnoide e pia madre) È simile a un cavo elettrico costituito da tanti fili al proprio interno, ciascuno dei quali è protetto da una guaina chiamata “mielina”. Ischemia del nervo ottico posttramautica Diagnosi e trattamento con staminali e trapianto liquido.
Un danno al nervo olfattivo (I) può causare l'incapacità di percepire gli odori (anosmia), una distorsione dell'olfatto (parosmia) o mancanza o alterazione del gusto Damage to the olfactory nerve (I) can cause an inability to smell (anosmia), a distortion in the sense of smell (parosmia), or a distortion or lack of taste. Nervi cranici • 1° Nervo olfattivo • 2° Nervo ottico • 3° Nervo oculomotore • 4° Nervo trocleare (altro oculomotore) • 5° Nervo trigemino • 6° Nervo abducente (altro oculomotore) • 7° Nervo facciale • 8° Nervo acusticovestibolare • 9° Nervo glossofaringeo • 10° Nervo vago • 11° Nervo accessorio spinal Nervo safeno. Un danno al nervo olfattivo (I) può causare l'incapacità di percepire gli odori (anosmia), una distorsione dell'olfatto (parosmia) o mancanza o alterazione del gusto Damage to the olfactory nerve (I) can cause an inability to smell (anosmia), a distortion in the sense of smell (parosmia), or a distortion or lack of taste.
Qual è la sua funzione?. Qui, il nervo ottico proveniente da ciascun occhio si divide e metà delle fibre nervose provenienti da ogni lato passa dall’altro lato Da questa organizzazione, il lato destro del cervello riceve le informazioni dal campo visivo sinistro di entrambi gli occhi e il lato sinistro riceve le informazioni dal campo visivo destro di entrambi gli occhi. Olfattiva danni ai nervi e riparazione Il tuo nervo olfattivo è responsabile per l'olfatto e la vostra capacità di rilevare i sapori di cibi e bevande che si consumano Danni al nervo olfattivo può essere debilitante e la condizione colpisce molte persone in tutto il mondo Quante persone.
Forza Ragazzi Scienze 5
Paralisi Dei Nervi Cranici Quattroelle
Krfyb5issofx M
Nervo Olfattivo Danneggiato のギャラリー
Disturbi Di Gusto E Olfatto Le Forme Trasmissive Possono Guarire
Nervo Olfattivo Anatomia Funzione E Patologie In Sintesi Medicina Online
Storie Olfattive Tesi Di Laurea In Design E Comunicazione Visiva By Loredana Ferraro Issuu
Sintomi Neurologici Da Covid 19 Alterazioni Di Gusto E Olfatto Universome
Nervi Cranici Prof Enrico Granieri Pdf Download Gratuito
Rigenerazione Nervo Olfattivo Itsanitas Com
Anosmia Cause Cure E Come Conviverci Segreti Per Starbene
Nervi Cranici Wikipedia
Ciglia Il Neurone Olfattivo Primario Emette Un Dendrite Apicale Da Cui Originano Le Ciglia La Rimozione Delle Ciglia Causa La Perdita Della Percezio Pdf Free Download
Sintomi Coronavirus Cosa Causa La Perdita Dell Olfatto Medicitalia It
Disturbi Dell Olfatto Iposmia Ed Anosmia Dott Carriere Otorinolaringoiatra Romadott Carriere Otorinolaringoiatra Roma
Nervo Olfattivo Anatomia Funzione E Patologie In Sintesi Medicina Online
Http M Docente Unife It Enrico Granieri Materiale Didattico Odontoiatria Disordini Neurologici Delle Funzioni Olfattive E Gustative
Percepire Gli Odori Cos E E Come Funziona L Olfatto Medicina Online
Dongbala Capo Modello Anatomico Cranio Cervelletto Cervello Eyeball Orale Cavita Nasale Modello 4 Parti Cerebrale Arteria Anatomia Modello Medico Di Insegnamento Amazon It Casa E Cucina
Www Tesionline It Servlet Mimegetter Fbn t938 Idt Rn Dirtesiteca
Nervo Olfattivo I Nervo Cranico Origine Funzione E Decorso
Http Www Fedoa Unina It 2670 1 Luongo Biologia Avanzata Pdf
L Epidemia Che Ci Ha Rubato Anche La Capacita Di Cogliere Odori E Sapori Corriere It
Anosmia Cause Trattamento Con Farmaci Farmaci Alternativi Con Competenza Per La Salute Su Ilive
Sintomi Coronavirus Cosa Causa La Perdita Dell Olfatto Medicitalia It
Sintomi Coronavirus Cosa Causa La Perdita Dell Olfatto Medicitalia It
Foodnose Micro Sistema Olfattivo Digitale Per La Sicurezza E La Conservazione Alimentare Jiali Fu Pdf Free Download
Nervi Cranici Il Nervo Olfattivo Il Corpo Umano
Http Www Fedoa Unina It 2670 1 Luongo Biologia Avanzata Pdf
Scienziati Decodificano Come Cervello Dei Topi Distingue Un Odore Dall Altro Notizie Scientifiche It
Semeiotica E Patologie Dei Nervi Cranici Nervo Cranico Pdf Download Gratuito
Neuroanatomia Nervi Cranici Docsity
Covid 19 E Olfatto Il Senso Perfetto
Nbnfpzjctcp Em
Adenoma Ipofisario Cause E Sintomi Vivere Piu Sani
Anosmia Perdere Il Senso Dell Olfatto
Http M Docente Unife It Enrico Granieri Materiale Didattico Odontoiatria Disordini Neurologici Delle Funzioni Olfattive E Gustative
Perche La Covid Puo Causare La Perdita Dell Olfatto Focus It
Anna D Errico Sulla Perdita D Olfatto Causata Dal Coronavirus Fondazione Ghislieri
Nervi Cranici Cosa Sono Anatomia Caratteristiche E Funzioni
Etmoide Cos E Anatomia Ossificazione Funzione E Patologie
Cosa Vuol Dire Vivere Senza Olfatto Una Malattia Invisibile Dall Impatto Devastante News Coronavirus
Moodle2 Units It Mod Resource View Php Id Redirect 1
Paralisi Dei Nervi Cranici Quattroelle
Aioxy Umano Nasale Modello Di Anatomia Patologia Naso Modello Otorinolaringoiatria Nasale Umano Modello Cavita Medicina Modello Di Insegnamento Amazon It Casa E Cucina
Coronavirus 1 Paziente Su 10 Potrebbe Non Recuperare L Olfatto E Il Gusto Curiosauro
Nervi Cranici Il Nervo Olfattivo Il Corpo Umano
Nervi Cranici Wikipedia
Guida Alle Neuropatie
Fidyka Come Armstrong I Primi Passi Dell Uomo Grazie Alle Sue Cellule Olfattive Vento Nuovo
Non Senti Gli Odori E Anosmia Non Sottovalutarla Cdi Centro Diagnostico Italiano
Sintomi Coronavirus Cosa Causa La Perdita Dell Olfatto Medicitalia It
Nervi Cranici Wikipedia
Disturbi Di Gusto E Olfatto Le Forme Trasmissive Possono Guarire
Il Senso Perfetto Di Odori Improbabili E Puzze Im Possibili
Perle Di Chogan Come Agiscono Gli Oli Essenziali Sul Facebook
Nervo Olfattivo I Nervo Cranico Origine Funzione E Decorso
Http Www Fedoa Unina It 2670 1 Luongo Biologia Avanzata Pdf
Una Nuova Tecnica Per Riparare I Nervi Danneggiati Oggiscienza
Fisiologia Dell Olfatto Pdf Download Gratuito
Http M Docente Unife It Enrico Granieri Materiale Didattico Lezioni Educatore Professionale Sanitario Neurologia 1b0 Anno Nervi cranici Pdf
Ho Perso Il Mio Senso Dell Olfatto A Causa Di Covid 19 E Piu Di Un Mese Dopo Mi Sto Ancora Riprendendo I Migliori Consigli Di Intrattenimento Moda Bellezza Fitness E Cibo E
Il Covid 19 Puo Danneggiare Il Cervello Cronache Di Scienza
Iposmia Cos E Sintomi Cause Cura Pazienti It
Nervo Vestibolococleare Infiammato O Danneggiato Sintomi E Cure Medicina Online
Disturbi Di Gusto E Olfatto Le Forme Trasmissive Possono Guarire
Paralisi Facciale Sintomi Cause Ed Esercizi
Nervi Cranici Anatomia Funzioni Schema Tabella Patologie Medicina Online
Nervi Cranici Cosa Sono Anatomia Caratteristiche E Funzioni
Singoli Neuroni Danneggiati Possono Provocare Un Effetto Domino
Come Sapere Se Hai Un Disturbo Olfattivo
Forza Ragazzi Scienze 5
Panoramica E Cause Dei Disturbi Olfattivi Brain Sistema Nervoso 21
Semeiotica E Patologie Dei Nervi Cranici Nervo Cranico Pdf Download Gratuito
Nervo Olfattivo Anatomia Funzione E Patologie In Sintesi Medicina Online
Anosmia Temporanea O Permanente Di Cosa Si Tratta Issalute
Struttura E Funzione Dei Nervi Cranici A El Paso Tx El Paso Tx Doctor Of Chiropractic
Rigenerazione Nervo Olfattivo Itsanitas Com
Nuovo Coronavirus Puo Intaccare Sistema Nervoso Ed Entrare Nel Cervello Attraverso Nervo Olfattivo Notizie Scientifiche It
Nervi Cranici Cosa Sono Anatomia Caratteristiche E Funzioni
Http M Docente Unife It Enrico Granieri Materiale Didattico Lezioni Educatore Professionale Sanitario Neurologia 1b0 Anno Nervi cranici Pdf
Disturbi Dell Olfatto Iposmia Ed Anosmia Dott Carriere Otorinolaringoiatra Romadott Carriere Otorinolaringoiatra Roma
Covid 19 E Olfatto Il Senso Perfetto
Staminali Coltivate Riparano L Olfatto Cosi Il Tessuto Del Naso Viene Rigenerato
Nervi Cranici Cosa Sono Anatomia Caratteristiche E Funzioni
Ecco Come Il Nuovo Coronavirus Puo Influenzare Il Cervello
I Cani Possono Perdere L Olfatto Petyoo
Nervi Cranici Anatomia Funzioni Schema Tabella Patologie Medicina Online
Indice Aspetti Molecolari E Pato Fisiologici Della Malattia Pag Sistema Del Gusto Pag 6 9 Sistema Del Gusto Pag 7 Sistema Olfattivo Pdf Free Download
Cellule Olfattive Per Ricostruire Il Midollo Spinale Focus It
Nervo Olfattivo Anatomia Funzione E Patologie In Sintesi Medicina Online
Anna D Errico Sulla Perdita D Olfatto Causata Dal Coronavirus Fondazione Ghislieri
Nervi Cranici Cosa Sono Anatomia Caratteristiche E Funzioni
Qian4 1 1 Modello Di Anatomia Umana Cranio Con Muscolo E Del Nervo Il Vaso Sanguigno Del Muscolo E Del Nervo Cervello Della Sezione Della Testa Amazon It Casa E Cucina
Sei Cose Che Non Sapevi Sull Olfatto 6 Gli Uomini Possono Rintracciare Gli Odori Come I Cani Business Insider Italia
Anosmia Perdere Il Senso Dell Olfatto
Nervo Vago
L Olfatto Del Cane Capacita Di Diagnosi In Campo Medico Missione Veterinario
L Olfatto Il Senso Dimenticato Alta Italia
Nervo Olfattivo Anatomia Funzione E Patologie In Sintesi Medicina Online
Nervo Olfattivo I Nervo Cranico Origine Funzione E Decorso


