Polmoni Pieni Di Liquido
A pieni polmoni 04 gennaio 21 Ma non potevo dire — o non dicevo di più;.
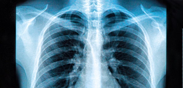
Polmoni pieni di liquido. La presenza di liquido nei polmoni può sopraggiungere in diverse situazioni e per cause differenti Tra queste l’edema polmonare lesionato, dovuto all’alterazione della membrana alveolo polmonare che ne causa una perdita di liquido attraverso il danneggiamento diretto della membrana separante la circolazione sanguigna degli alveoli. C’è un video che lo spiega Polmoni riempiti con un muco appiccicoso che impedisce di respirare perché non c’è spazio per l’aria è quanto rivelano le immagini ai raggi x dei pazienti affetti da. Passolanciano Respirando a pieni polmoni tra le montagne della Majella (guarda le foto e il video) Foto e Video di Marcella di Girolamo #abruzzo.
Polmoni riempiti con un muco appiccicoso che impedisce di respirare perché non c'è spazio per l'aria è quanto rivelano le immagini ai raggi x dei pazienti affetti da coronavirusMentre il Covid19 continua a diffondersi in tutto il mondo e il bollettino delle vittime aumenta (al momento sono oltre 4500 i decessi), i medici stanno iniziando a capire sempre più come il nuovo virus colpisce. Polmoni riempiti con un muco appiccicoso che impedisce di respirare perché non c'è spazio per l'aria è quanto rivelano le immagini ai raggi x dei pazienti affetti da coronavirusMentre il. Polmoni pieni di muco ecco come uccide il coronavirus Redazione L'Occhio 12 Marzo 12 2 minutes read Come uccide il coronavirus?.
Il feto riceve invece sangue ricco di ossigeno dalla placenta materna attraverso il cordone ombelicale mentre ha i polmoni pieni di liquido Dato che il feto non respira aria, solo una piccola quantità di sangue deve attraversare i polmoni, pertanto il percorso mediante il quale il sangue circola attraverso il cuore e i polmoni è diverso nel. Una polmonite derivante dall’aspirazione del liquido amniotico è la probabile ipotesi del decesso del neonato, in attesa che il medico legale depositi la documentazione definitiva. I polmoni sono i due organi preposti alla fornitura di ossigeno all’organismo e all’eliminazione dell’anidride carbonica dal sangue, ovvero agli scambi gassosi fra aria e sangue (processo noto con il nome di ematosi)Situati nella cavità toracica, sono avvolti da una membrana sierosa, la pleura, fondamentale per lo svolgimento delle loro funzioni.
Soluzioni per la definizione *Non hanno problemi di liquido* per le parole crociate e altri giochi enigmistici come CodyCross Le risposte per i cruciverba che iniziano con le lettere D, DA. Gridavo solo senza vergogna la predetta parola, cioè “Amore non conosciuto, e perché e perché e perché”» È il racconto al suo confessore del sogno che vedeva protagonista il santo di Assisi Angela sogna e vuole, desidera l’Amore. La polmonite è un'infiammazione acuta dei polmoni (di uno solo o, più comunemente, di entrambi) – di natura per lo più infettiva – che, se non riconosciuta e curata, può compromettere la capacità respiratoria, e quindi, in casi estremi, mettere a repentaglio la vita di chi ne venga colpito Tra i sintomi più comuni febbre, respiro corto, talvolta sibilante o difficoltoso, dolore al.
Ha i polmoni pieni di liquido Sus pulmones se llenan de líquido Quando è stabile, esaminagli i polmoni Examina sus pulmones cuando esté estable Il cuore e i polmoni riprenderanno velocità Sus pulmones y corazón empezarán mejorar Probabilmente perforai i polmoni, perciò dovemmo inseguirlo. Come e perché si sviluppa l’accumulo di liquido nei polmoni Come si è già detto l’edema polmonare acuto è un repentino accumulo di fluidi (soluzioni in acqua di proteine ed eventualmente cellule ematiche) nell’interstizio polmonare, fluidi che provengono dai capillari alveolari attraverso il loro l’endotelio (tessuto che riveste i vasi sanguigni) o per trasudazione o per essudazione. L’assunzione di certi farmaci, come gli inibitori di conversione dell’angiotensina (ACE) (fra cui enalapril o captopril) nel 2° e 3° trimestre può comportare una quantità insufficiente di liquido amniotico Di solito questi farmaci vanno evitati durante la gravidanza Tuttavia, raramente, sono utilizzati per situazioni di insufficienza.
I polmoni sono i due organi preposti alla fornitura di ossigeno all’organismo e all’eliminazione dell’anidride carbonica dal sangue, ovvero agli scambi gassosi fra aria e sangue (processo noto con il nome di ematosi)Situati nella cavità toracica, sono avvolti da una membrana sierosa, la pleura, fondamentale per lo svolgimento delle loro funzioni. Gridavo solo senza vergogna la predetta parola, cioè “Amore non conosciuto, e perché e perché e perché”» È il racconto al suo confessore del sogno che vedeva protagonista il santo di Assisi Angela sogna e vuole, desidera l’Amore. Accumulo di liquido nei polmoni conseguente a meccanismi di diversa natura Le cause di tali tipologie di edemi sono Carcinomi che compromettono la circolazione linfatica Pneumoconiosi Sono affezioni morbose causate da inalazioni di polveri ed in particolare di silicio, asbesto e berillio.
Polmoni riempiti con un muco appiccicoso che impedisce di respirare perché non c'è spazio per l'aria è quanto rivelano le immagini ai raggi x dei pazienti affetti da coronavirusMentre il Covid19 continua a diffondersi in tutto il mondo e il bollettino delle vittime aumenta (al momento sono oltre 4500 i decessi), i medici stanno iniziando a capire sempre più come il nuovo virus colpisce. Il dolore toracico di tipo pleurico, dovuto a versamento pleurico, può scomparire all’accumulo di liquido Grandi quantità di liquido possono ostacolare l’espansione di uno o di entrambi i polmoni alla respirazione, con conseguente respiro affannoso. Infatti, la presenza insolita di fluidi compromette la funzione svolta dagli alveoli durante la respirazione.
Insieme di organi canaliformi che conducono l’aria dall’ambiente esterno fino Polmoni organi pieni esterna dei polmoni) liquido pleurico (riduce lo sfregamento durante la respirazione) Polmoni Polmone avvolto dalla pleura (Viscerale e Parietale). Buon giorno, mia sorella di 46 anni ha accusato dei forti dolori al fianco sx che corrispondevano alla spalla e allo sterno, una rx al torace ha evidenziato un piccolo versamento pleurico, ma non. L’edema polmonare si verifica quando gli alveoli si riempiono di liquido in eccesso filtrato al di fuori dei vasi sanguigni dei polmoni Questo può causare problemi con lo scambio di gas (ossigeno e anidride carbonica), con conseguente difficoltà di respirazione e scarsa ossigenazione del sangue.
O viceversa il secondo intervento riguarda invece una particolare procedura mediante la quale si riescono a sigillare tra di esse le pareti pleuriche evitando così di lasciare lacune che potranno riempirsi di liquido nuovamente. Il trattamento per l'acqua nei polmoni varierà a seconda della gravità della condizione che a sua volta dipende dalla quantità di liquido accumulato nei polmoni La cosa principale da fare è aiutare il paziente a respirare fornendogli ossigeno mediante una maschera. Polmoni riempiti con un muco appiccicoso che impedisce di respirare perché non c'è spazio per l'aria è quanto rivelano le immagini ai raggi x dei pazienti affetti da coronavirusMentre il.
Se il liquido si accumula nei bronchioli dei polmoni il cane può presentare espettorazione di un liquido spumoso e rossastro I cani con questo tipo di sintomi normalmente presentano cardiomegalia (aumento del volume del cuore) e edema polmonare L'edema polmonare non cardiogeno è quello che non si relaziona con malattie cardiache Alcune. Mi attira lì, mi getta del liquido infiammabile addosso e mi dà fuoco I danni erano tanto profondi, i polmoni pieni di fumo” “Ho avuto la fortuna di sopravvivere. Il liquido nei polmoni cause Un tale sintomo, come un liquido nei polmoni potrebbe essere un risultato di infiammazione (tubercolosi, pleurite, polmonite), congestizia fenomeni o il cancro Il liquido inizia ad accumularsi nei polmoni a causa di aumento della permeabilità delle pareti dei vasi sanguigni, e anche se l'integrità viene violata.
A pieni polmoni 04 gennaio 21 Ma non potevo dire — o non dicevo di più;. A pieni polmoni 51 Affogherai nel liquido dei tuoi polmoni Mi sembra impossibile respirare coi polmoni di un altro I still can't believe I'm breathing with someone else's lungs Pare che abbiano trovato dei polmoni It looks like they may have found a set of lungs. Pulire i polmoni impiegando i metodi naturali è abbastanza semplice Se siete dei fumatori, tutto il catrame delle sigarette si deposita nei polmoni, rendendo più difficile il loro compito di assorbire l’ossigeno per le nostre cellule ed espellere l’anidride carbonica.
I danni ai polmoni con un accumulo di liquidi corporei, è stato rilevato anche con l’insufficienza renale L’edema polmonare può essere anche una complicazione di un attacco cardiaco, perdita o riduzione delle valvole cardiache (valvola mitrale e aortica), o di qualsiasi malattia del cuore che si traduce in un indebolimento o irrigidimento del muscolo cardiaco (cardiomiopatia). Respirate a pieni polmoni proprio sul limitare del bosco, percorrendo un sentiero escursionistico circolare per scoprire, grazie ai cartelloni illustrativi, la flora regionale di alta montagna Aperto da giugno a settembre, tutti i giorni dalle 900 alle 1700 sin dal 1930;. La presenza di liquido nei polmoni può sopraggiungere in diverse situazioni e per cause differenti Tra queste l’edema polmonare lesionato, dovuto all’alterazione della membrana alveolo polmonare che ne causa una perdita di liquido attraverso il danneggiamento diretto della membrana separante la circolazione sanguigna degli alveoli.
Il bambino deve espellere il liquido amniotico che i suoi polmoni sono pieni di quando al riparo nel grembo della madre Questo liquido deve essere rimosso quando non ci sono segnali chimici passati che indicano che il fluido deve essere espulso È attraverso questi segnali chimici che questo fluido è spremuta fuori. L’edema polmonare si verifica quando gli alveoli si riempiono di liquido in eccesso filtrato al di fuori dei vasi sanguigni dei polmoni Questo può causare problemi con lo scambio di gas (ossigeno e anidride carbonica), con conseguente difficoltà di respirazione e scarsa ossigenazione del sangue. Le proiezioni toraciche del polmone sono una serie di punti di riferimento presi sulla gabbia toracica che permettono di individuare con esattezza la forma e la posizione del polmone e delle sue scissure all'interno della gabbia toracica Proprio per questo rivestono grande importanza in semeiotica.
La polmonite è una malattia dei polmoni e più in generale del sistema respiratorio, caratterizzata dall'infiammazione degli alveoli polmonari, i quali, riempiendosi di liquido, ostacolano la funzione respiratoria, solitamente causata da un'infezione dovuta a virus, batteri e altri microrganismi e meno frequentemente come conseguenza della somministrazione di alcuni farmaci o di altre. Polmoni riempiti con un muco appiccicoso che impedisce di respirare perché non c’è spazio per l’aria è quanto rivelano le immagini ai raggi x dei pazienti affetti da coronavirus Mentre il Covid19 continua a diffondersi in tutto il mondo e il bollettino delle vittime aumenta (al momento sono oltre 4500 i decessi), i medici stanno. Segni di liquido nei polmoni di un gatto I polmoni del tuo gatto possono essere pieni di liquido per una serie di motivi, ma l'apprendimento dei segni può aiutarti ad ottenere aiuto per il tuo animale prima che si verifichino gravi conseguenze per la salute I polmoni dei gatti ossigenano il sangue e rimuovono l'anidride carbonica allo stesso modo degli umani.
POTENZA Anche l'Irccs Crob di Rionero in Vulture aderisce alla Giornata mondiale Senza tabacco che si celebrera' il prossimo giovedi' 31 maggio promossa dall'Organizzazione mondiale della Sanita. Il liquido nei polmoni cause Un tale sintomo, come un liquido nei polmoni potrebbe essere un risultato di infiammazione (tubercolosi, pleurite, polmonite), congestizia fenomeni o il cancro Il liquido inizia ad accumularsi nei polmoni a causa di aumento della permeabilità delle pareti dei vasi sanguigni, e anche se l'integrità viene violata. Berkeley Electronic Press Selected Works.
Segnala un errore o suggerisci miglioramenti Forum discussions with the word(s) 'a pieni polmoni' in the title Discussioni nei forum nel cui titolo è presente la parola 'a pieni polmoni' Respirare a pieni polmoni Respirare a pieni polmoni. Polmoni pieni di liquido cause, pericoli e trattamento Provoca La causa di fondo di liquido nei polmoni è spesso attribuita a problemi cardiaci Tuttavia, può anche Problemi cardiaci Quando il cuore non funziona correttamente, è probabile che si verifichi edema polmonare Il lavoro. In alcuni casi il versamento può essere misto, per esempio liquido essudatizio più sangue (nei casi di pleurite tubercolare, tubercolosi pleurica e forme neoplastiche a carico di pleura o polmoni) Sintomi La sintomatologia di un versamento pleurico varia in base alla quantità di liquido presente nella cavità pleurica e alla sua velocità.
Al momento della nascita i polmoni sono pieni per metà di liquido che durante i primi movimenti respiratori extrauterini si scambia con l'aria inspirata evacuando da bocca, naso, vasi sanguigni e linfatici Circolazione fetale la circolazione polmonare. L'edema polmonare consiste nella fuoriuscita di liquidi dal sistema capillare dei polmoni, con conseguente accumulo di acqua ed altre componenti plasmatiche nello spazio extravascolare Si tratta di una condizione patologica assai grave;. I polmoni pieni di questi fluidi biologici perdono la capacità di effettuare efficaci scambi gassosi ed è per questo che si determina l'ipossiemia con la conseguente necessità di intervenire.
Questa espressione si riferisce, di norma, alla presenza di liquido tra pleura e pleura e non nei polmoni Le cause sono svariate e possono essere dovute a infiammazioni acute e croniche del polmone e della pleura stessa, malattie tumorali del polmone e della pleura, a scompenso cardiaco, a malattia uremica e così via Il modo con cui tale liquido viene rimosso è differente a seconda dei. Manca qualcosa di importante?. Quando si parla di “liquido nei polmoni”, ci si può riferire in medicina anche al versamento pleurico, che consiste nella raccolta di liquido all’interno della cavità pleurica superiore a quello fisiologicamente presente Le cause di versamento pleurico possono essere moltissime, le principali sono scompenso cardiaco;.
Interazioni cuorepolmoni in patologia cardiaca e respiratoria Le ripercussioni polmonari delle malattie cardiache Francesco Iodice, Lucio Rufolo Fisiopatologia normale), ma altri sono pieni di liquido e quindi non ventilati (ma perfusi) e questo determina uno shunt anatomico proporzionale alla portata cardiaca,. Edema polmonare L’edema polmonare è un anomalo accumulo di liquido nei polmoni, il che li porta a gonfiarsi CAUSE L’edema polmonare è in genere causato da insufficienza cardiacaQuando il cuore non funziona bene, la pressione nelle vene passa attraverso i polmoni e inizia a salire. Soluzioni per la definizione *Non hanno problemi di liquido* per le parole crociate e altri giochi enigmistici come CodyCross Le risposte per i cruciverba che iniziano con le lettere D, DA.
Nel caso dell’edema polmonare non cardiogeno la comparsa di liquido nei polmoni è dovuta a cause di natura non cardiaca, che nella maggior parte dei casi sono di tipo polmonare Enfisema. Buon giorno, mia sorella di 46 anni ha accusato dei forti dolori al fianco sx che corrispondevano alla spalla e allo sterno, una rx al torace ha evidenziato un piccolo versamento pleurico, ma non. A pieni polmoni 51 Affogherai nel liquido dei tuoi polmoni Mi sembra impossibile respirare coi polmoni di un altro I still can't believe I'm breathing with someone else's lungs Pare che abbiano trovato dei polmoni It looks like they may have found a set of lungs.
Proteinosi Alveolare Polmonare Malattie Polmonari Manuali Msd Edizione Professionisti
Toracentesi Procedura Complicanze Rischi E Dolorosa Medicina Online
Uno Studio Mostra I Danni Ai Polmoni Dei Primi Malati Di Coronavirus Curati In Italia L Huffpost
Polmoni Pieni Di Liquido のギャラリー
Apparato Respiratorio Docsity
Http Amsacta Unibo It 3067 122 40 Fp Respiratoria I Ed Ebook Pdf
Anatomia Patologica Polmone Studocu
Edema Polmonare Cos E Sintomi Cura E Mortalita Ohga
Atomizzatore Per Tiro Di Polmone Cosa Sapere Svapoboss
Liquido Nei Polmoni Dei Gatti Edema Polmonare Gatto Blog
Best Practice Sistema Di Drenaggio Toracico Academy Case Management Italia
Edema Polmonare Sintomi Cause E Trattamento Salute 21
Edema Polmonare Nel Cane Quanto Puo Vivere Amica Veterinaria
Acqua Nei Polmoni Le Cause E Le Conseguenze Epicura Blog
Polmoni Pieni Di Liquido Cause Pericoli E Trattamento Rivista Femminile Della Donna Mondo
Da Israele All Ospedale Di Torrette Strumento Per Passare Ai Raggi X I Polmoni Dei Pazienti Covid Cronache Maceratesi
Enfisema Polmonare Cos E Cause Sintomi E Cure Melarossa
Come Il Coronavirus Attacca Le Cellule Corriere It
Versamento Pleurico Sistema Respiratorio In Pericolo Multimedica
Come Il Coronavirus Attacca Le Cellule Corriere It
Polmonite Batterica
Best Practice Sistema Di Drenaggio Toracico Academy Case Management Italia
Pneumotorace Sintomi Cause E Cura
Il Primo Respiro Un Imprinting Che Puo Durare Tutta La Vita Essere Integrale
Q Tbn And9gctg3ovbbs1r1brpl1idzmj49k0hu3nhj0chwd Wjlo Usqp Cau
Covid 19 Le Immagini Dei Polmoni Dei Due Cinesi Ricoverati A Roma Cronache Di Scienza
La Respirazione Assisla Onlus
Prometheus Testo Atlante Di Anatomia Organi Interni
I Danni Ai Polmoni Dei Primi Due Malati Gravissimi Di Coronavirus
Usa Indagine Di Npr Su Oltre 0 Autopsie I Polmoni Dei Giustiziati Pesano Il Doppio Del Normale
Fibrosi Polmonare
Polmoni Pieni Di Muco Ecco Come Uccide Il Coronavirus Ilgiornale It
5 Acqua Principali Cause Di Malattie Respiratorie Polmonari It Odysseedubienetre Be
Vettoriale La Polmonite E Una Malattia Infiammatoria Del Polmone E Causata Da Infezione Da Virus Batteri Parassiti O Funghi La Malattia E Caratterizzata Da Infiammazione Degli Alveoli Alveoli Sono Pieni Di
Contusione Polmonare Wikipedia
Versamento Pleurico Nel Cane Quali Sono Le Cause Amica Veterinaria
Liquido Nei Polmoni Scopri Tutte Le Cause E Le Conseguenze
Edema Polmonare Acuto E Cronico Sintomi Cause E Cura
Edema Polmonare L Accumulo Di Liquido Dentro Gli Alveoli Med4care
Bolla Polmonare Www Vet Moser It Vetclinic Bozen Bolzano Dr Georg Moser Dr Simon Kirchler
Edema Polmonare Acuto
Catarro Bronchiale Sintomi Cause Cure E Rimedi Per Eliminarlo
Edema Polmonare Acuto Sintomi Cause E Caratteristiche Dell Epa
Tumore Ai Polmoni Sintomi Diagnosi E Prevenzione Paginemediche
Enfisema Polmonare Cos E Cause Sintomi E Cure Melarossa
Pubblica Assistenza Pianoro Schede Informative
Versamento Pleurico Disturbi Polmonari E Delle Vie Respiratorie Manuale Msd Versione Per I Pazienti
Versamento Pleurico Segni Sintomi E Assistenza Infermieristica
Fisiologia Dell Esercizio Risposte Ventilatorie Chinesiogroup
Toracentesi Procedura Complicanze Rischi E Dolorosa Medicina Online
Embolia Polmonare Sintomi Cause Cura Conseguenze
Coronavirus L Aspetto Dei Polmoni Di Un Bambino Con Coronavirus E Rivelato Dalle Scansioni Tc 99coronavirus Com
Versamento Pleurico Sistema Respiratorio In Pericolo Multimedica
Liquido Nei Polmoni Scopri Tutte Le Cause E Le Conseguenze
Sigaretta Elettronica 18enne Esce Dal Coma E Invita Gli Altri A Smettere
Cosi I Polmoni Si Rigenerano Smettendo Di Fumare Fondazione Umberto Veronesi
Polmonite Wikipedia
Polmone Umano Wikipedia
Versamento Pleurico Nel Gatto Cause E Cure
Polmoni Pieni Di Muco Ecco Come Uccide Il Coronavirus Ilgiornale It
Versamento Pleurico Segni Sintomi E Assistenza Infermieristica
Edema Polmonare Cos E Sintomi Cura E Mortalita Ohga
Versamento Pleurico Segni Sintomi E Assistenza Infermieristica
Polmonite Wikipedia
Covid L Evoluzione Della Polmonite In Tre Foto Il Medico In Giorni Giovane Paziente Si Sta Degradando Il Riformista
Http Www Publichealth It Wp Content Uploads 16 06 Misure Respiratorie Medicina Pdf
Covid L Evoluzione Della Polmonite In Tre Foto Il Medico In Giorni Giovane Paziente Si Sta Degradando Il Riformista
Covid L Evoluzione Della Polmonite In Tre Foto Il Medico In Giorni Giovane Paziente Si Sta Degradando Il Riformista
La Polmonite
I Polmoni Danneggiati Possono Essere Riparati Collegandoli Ai Maiali La Tecnica Rivoluzionaria
Versamento Pleurico Cause Sintomi Terapia Albanesi It
Il Gonfiore Alle Gambe E Spia Di Un Problema Serio A Cuore O Polmoni Corriere It
Http Www 1 Unipv It Tslmra22 Apparato respiratorio Pdf
Contusione Polmonare Wikipedia
Coronavirus Studio Sui Primi Malati Italiani Mostra I Gravi Danni Ai Polmoni La Repubblica
Mal Di Montagna Cause Sintomi Terapia E Prevenzione Hardoctor News Il Blog Di Carlo Cottone
Ascesso Polmonare Cos E Cause Sintomi Cura Diagnosi Pazienti It
Polmonite Cause Fattori Di Rischio Sintomi Diagnosi E Cura Della Principale Causa Di Morte Infantile Meteoweb
Fuma La Sigaretta Elettronica E Si Trova In Ospedale Con L Acqua Nei Polmoni Ilgiornale It
Il Talco Aiutera A Curare Le Malattie Polmonari Sputnik Italia
Edema Polmonare Disturbi Dell Apparato Cardiovascolare Manuali Msd Edizione Professionisti
Malattia Polmonare
Edema Polmonare Nel Cane Quanto Puo Vivere Amica Veterinaria
Polmone Umano Wikipedia
Enfisema Polmonare Cos E Cause Sintomi E Cure Melarossa
Polmonite Wikipedia
La Polmonite Ogni Giorno Uccide 20 Bambini Ufficistampanazionali It
Polmoni Disturbi E Tutti I Rimedi Cure Naturali It
Edema Polmonare Nel Cane Quanto Puo Vivere Amica Veterinaria
Il Primo Respiro Un Imprinting Che Puo Durare Tutta La Vita Essere Integrale
Cosi Il Coronavirus Colpisce I Polmoni Dei Malati
Le Cause Dell Acqua Nei Polmoni Quando Preoccuparsi Pazienti It
Sintomi Edema Polmonare
Opacita Del Vetro Smerigliato Ground Glass Opacity Qaz Wiki
Versamento Pleurico Sistema Respiratorio In Pericolo Multimedica
Edema Polmonare Negli Animali Domestici Come Creare Una Casa Felice Per Il Tuo Animale Domestico
Coronavirus Cosa Succede Nei Polmoni Dei Pazienti Gravi Lo Studio Open
Tiro Di Guancia E Tiro Di Polmone Differenze Svapostore
Cosi Il Coronavirus Colpisce I Polmoni Dei Malati
Acqua Nei Polmoni Sintomi E Rischio Di Tumore E Grave Blog Benessere
Edema Polmonare Acuto Servizi Infermieristici A Domicilio
Embolia Polmonare Sintomi Cause E Trattamento Ostruzione Arteria Polmonare


