Blanqueamiento Dental Antes Y Despues Real
El blanqueamiento dental es un tratamiento odontológico con gran demanda dentro del campo de la Estética DentalY es que se trata de un procedimiento eficaz e inocuo cuyos resultados se hacen visibles prácticamente desde el primer día Por este motivo, existe una amplia oferta en el mercado en farmacias, o a través de la red de tratamientos ambulatorios que prometen unos resultados.
Blanqueamiento dental antes y despues real. El blanqueamiento dental en casa consiste en "colocarse unas férulas hechas a medida y llevarlas por un período desde 90 minutos a 8 horas dependiendo del tipo de concentración del peróxido. Blanqueamiento Dental Tipos, 11 Consejos Importantes y Cuidados de Antes y Después El blanqueamiento dental es una técnica que se ha vuelto muy popular en los últimos años debido a la apariencia estética de los dientes blancos y bien alineados que predomina en la sociedad actual. Estados Unidos NW 41st St Unit 114, Doral, FL 1 (786) SW 127th Ave.
Nusa, el 17 de Julio de 13 a las 1503 Publicado en el Grupo Belleza 1 194 Así que me casó el 23 de mayo, el día de enero tengo hora para hacerme la limpieza y despues quiero hacerme el balnqueamiento me han dicho de hacer el mismo que tu, el que te haces en casa tu con los moldes. Paciente tratado Maria Tener mis dientes blancos y sanos es muy importante para mi Una única sesión de 1 hora y media, para conseguir bajar 6 tonos. La Clínica Dental Dra Alina Pérez tiene más de 10 años de experiencia en el campo odontológico Durante este tiempo se ha brindado tratamientos de rehabilitación oral, muchos de manera interdisciplinaria con especialistas, por ejemplo, en un caso de tratamiento de ortodoncia.
Blanqueamiento Dental Tipos, 11 Consejos Importantes y Cuidados de Antes y Después El blanqueamiento dental es una técnica que se ha vuelto muy popular en los últimos años debido a la apariencia estética de los dientes blancos y bien alineados que predomina en la sociedad actual. Qué es un blanqueamiento dental?. Antes y Después El blanqueamiento dental es un procedimiento muy sencillo que se realiza con un gran número de pacientes en el consultorio Es muy popular ya que significa un cambio importante en la estética dental y facial del paciente.
Si tienes una boca sana y te gustaría una sonrisa más «blanca», puedes blanquearte los dientes, en nuestra clínica de estética Somos especialistas en blanqueamiento dental en Madrid Para ello utilizamos Peróxido de Carbamida que tiene la propiedad de disociarse químicamente cuando está en contacto con calor (nuestro cuerpo está a 36º), la Carbamida se queda en el gel y el. Blanqueamiento dental antes y después de la ortodoncia Incluso después de completar un tratamiento de ortodoncia para alinear sus dientes, algunos pacientes pueden sentirse inseguros con respecto a su sonrisa debido a que tienen los dientes manchados o de color amarillento. Detenga el tratamiento de blanqueamiento por varios días para permitir que sus dientes se adapten al procedimiento En un plazo de 24 horas, la sensibilidad cesará.
Después de un blanqueamiento dental, durante las siguientes 24 o 48 horas es importante llevar una «dieta blanca», es decir, escoger los alimentos sin color y evitar otros que sí lo tienen «El esmalte necesita un tiempo de rehidratación y antes de unos cuatro días aún es muy permeable”. El blanqueamiento dental es un tratamiento de estética dental que logra reducir varios tonos el color de nuestros dientes, dejándolos más blancos y brillantes, y permite eliminar manchas superficiales producidas por factores externos, como el tabaco o el ingerir bebidas como café y té. Blanqueamiento dental Blanqueamiento dental ¿Alguien puede hacer blanqueamiento?.
¿El procedimiento causa dolor?. Tal y como ya hemos adelantado, un blanqueamiento interno es un tratamiento que permite aclarar el color de los dientes que se han sometido previamente a una endodoncia o tratamiento de conductos Tal y como sus propios nombres indican, el tratamiento interno se diferencia del externo en que se realiza sobre las estructuras internas de la pieza dental. Antes de tomar la decisión de blanquear los dientes, mediremos las expectativas del paciente y analizaremos el caso por separado En general, separaremos los casos en tres categorías y seguramente se lo incluirá en uno de ellos.
Blanqueamiento dental qué tener en cuenta antes y después el tratamiento a realizar y también comunicará los posibles resultados a conseguir desde un punto de vista real Gracias al blanqueamiento dental conseguiremos una sonrisa radiante Existen varias técnicas de blanqueamiento dental Una de las más usadas es la aplicación de. BLANQUEAMIENTO DENTAL EN BOGOTÁ _____ Consigue una sonrisa bella y atractiva con el blanqueamiento dental combinado de la Dra Verónica Rodriguez El blanqueamiento es combinado (en consultorio y casero) Tu sonrisa se verá mucho más atractiva Tus dientes blancos por mucho más tiempo. Blanqueamiento domiciliario ¡Consigue los dientes blancos que siempre has soñado!.
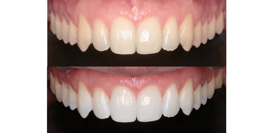
Blanqueamiento dental antes y después Una dentadura blanca y reluciente es un recurso social importante y una estupenda tarjeta de presentación, como lo confirma más del 90% de adultos según una encuesta de la Academia Americana de Odontología Cosmética (AACD) No hay mejor complemento que una bonita sonrisa. Las desventajas de un blanqueamiento dental pasan tienen más que ver con la aplicación de una técnica no profesional, o por un estudio inadecuado de las verdaderas necesidades del paciente Resulta que a menudo es conveniente realizar antes del blanqueamiento otro tipo de tratamientos, como una limpieza dental profesional, o simplemente no. Antes de plantear el tratamiento, es importante que la boca esté limpia y sana En el caso de que exista alguna patología, es recomendable solucionar primero este problema antes de someterse a un blanqueamiento dental.
Blanqueamiento dental Antes y después de un blanqueamiento dental Los resultados pueden variar entre un paciente y otro. Después de gastar tiempo y dinero en blanqueamiento dental, lo último que querés ver en el espejo es una decoloración Descubrí cómo mantener los dientes blancos y brillantes que tanto te han costado Cuidado diario de limpieza y pulido Cepillarte y usar hilo dental a diario te ayudará a mantener la boca limpia, sana y sin manchas. BLANQUEAMIENTO DENTAL ANTES Y DESPUES CLINICA DENTAL VELEZPuedes Agendar tu cita con nosotros en https//clinicadentalcdmxnet/https//implantesdentalescdmx.
Este es e resultado de un blanqueamiento dental en nuestra clínica, tratamiento realizado con laser. El blanqueamiento dental es un tratamiento que permite aclarar en varios tonos el esmalte y tener dientes blancosLas nuevas tecnologías, nos permite en la clínica dental en Barcelona, Badalona y Madrid Centro de Propdental aplicar las más innovadoras e efectivas técnicas y materiales de blanqueamiento dental, consiguiendo así de forma personalizada sonrisas blancas más bellas. Lámpara de luz fría El un blanqueamiento dental con férulas En Ferrus & Bratos iniciamos todos los tratamientos de blanqueamiento dental con una profilaxis –o higiene bucodental profesional De esta manera, nos aseguramos que el diente queda mejor preparado para recibir la acción del gel blanqueador, eliminando manchas y pequeñas tinciones superficiales.
Si buscas una clínica dental en el centro de Madrid capital o en Becerril de la Sierra, Dental Navarro es lo que estabas buscando Somos dentistas especialistas en implantes dentales, ortodoncia, periodoncia, endodoncia, estética dental,etc ¡Visítanos y lo comprobarás!. Blanqueamiento dental antes y después de la ortodoncia Incluso después de completar un tratamiento de ortodoncia para alinear sus dientes, algunos pacientes pueden sentirse inseguros con respecto a su sonrisa debido a que tienen los dientes manchados o de color amarillento. Descubre el antes y después de este caso real de blanqueamiento dental en la clínica Bousoño Vargas de Oviedo.
Antes y despuÉs caso 1 caso 2 caso 3 caso 4 contacto calle hernan cortés 13 bajo, valencia 34 963 034 8 34 601 465 925 horario l – v 1000 – 1400h / 1600 – 00h sÍguenos en redes sociales sÍguenos en instagram. Inicio Antes & Después Blanqueamiento Dental Testimonios de Blanqueamiento Dental De que se trata Caso real de Blanqueamiento ZOOM!. Fotos de antes y después En 19 se inició en EEUU el primer procedimiento científico de blanqueamiento dental Ese mismo año, empezamos a aplicarlo en nuestra Clínica de Madrid Desde entonces, hasta hoy.
Mi blanqueamiento dental antes y después!. Carillas en Resina y Corona de Zirconio _____ Caso Paciente masculino de 57 años con dientes anteriores manchados y prótesis desadaptada Valoración Análisis Facial y Dental;. En QuickWhiteQuickLase, buscamos que nuestros tratamientos lleguen a los pacientes al cien por cien de sus posibilidades, buscando en la política de precios.
Confección de 6 carillas en resina de alta estética. Si tienes una boca sana y te gustaría una sonrisa más «blanca», puedes blanquearte los dientes, en nuestra clínica de estética Somos especialistas en blanqueamiento dental en Madrid Para ello utilizamos Peróxido de Carbamida que tiene la propiedad de disociarse químicamente cuando está en contacto con calor (nuestro cuerpo está a 36º), la Carbamida se queda en el gel y el. Estados Unidos NW 41st St Unit 114, Doral, FL 1 (786) SW 127th Ave.
Higiene y profilaxis Prótesis corona de porcelana sobre Zirconio;. Antes de realizarte el tratamiento de blanqueamiento dental, primero de todo deberías realizarte una higiene oral y eliminar las manchas de tus dientes Las manchas dentales provocadas por alimentos o bebidas son fáciles de eliminar de la superficie del diente, el procedimiento más utilizado es el uso de agentes abrasivos como pastas dentales. Si quieres mejorar el tono de tu sonrisa, encuentra en las siguientes clínicas dentales en Ciudad Real (Ciudad) a especialistas en blanqueamiento dentalEste tratamiento estético permite recuperar el tono blanco de las piezas dentales consiguiendo más brillo y eliminando manchas causadas por varios factores como por ejemplo, el tabaco, el vino o una pobre limpieza bucal.
Blanqueamiento anales antes y despues #blanqueamientodental #dientesblancos blanqueamiento dental antes y despues en consultorio caso real paso a paso, metodo rapido y seguro, aclaramiento Опубликовано 3 июн г Blanqueamiento dental antes y despues clinica dental velez. En el vídeo de hoy me realizo un blanqueamiento dental, paso a paso una experta nos explicará el proceso de dicho tratamiento Este tratamiento lo he llevado. Descarga fotos de Blanqueamiento dental Busca millones de imágenes de Blanqueamiento dental de alta calidad a precios muy económicos en el banco de imágenes 123RF Compra hoy.
Precio del Banqueamiento Dental Dory Sánchez El blanqueamiento dental personalizado de Clínica Rosales requiere una técnica combinada en clínica y en casa, ya sea un blanqueamiento largo o corto Ver nuestras fotos de Antes y Después. Cepillar y limpiar los dientes con hilo dental después de las comidas y antes de dormir Advertencias Además de los factores de riesgo mencionados anteriormente, se deben considerar las siguientes advertencias antes de someterse al blanqueamiento dental Ningún tipo de blanqueamiento producirá dientes “antinaturalmente” blancos. Si quieres mejorar el tono de tu sonrisa, encuentra en las siguientes clínicas dentales en Ciudad Real a especialistas en blanqueamiento dentalEste tratamiento estético permite recuperar el tono blanco de las piezas dentales consiguiendo más brillo y eliminando manchas causadas por varios factores como por ejemplo, el tabaco, el vino o una pobre limpieza bucal.
Antes de realizar cualquier tipo de tratamiento de blanqueamiento dental es muy recomendable realizar una limpieza dentalLa limpieza dental y el blanqueamiento van muy unidos, ya que es la mejor manera de conseguir mucho mejores resultados una vez terminado el tratamientoEs por ellos que en los tratamientos de blanqueamientos realizados en clínicas, el primer paso sea siempre la. 0 Antes y después Home;. Paciente tratado Maria Tener mis dientes blancos y sanos es muy importante para mi Una única sesión de 1 hora y media, para conseguir bajar 6 tonos.
El blanqueamiento dental empezó con una sesión en la clínica Delgado & DelgadoFernando, mi dentista, colocó una lámpara de luz azul sobre la boca y me dio un total de 3 «disparos» de luz de 8 minutos cada uno de ellos Estos disparos se pueden hacer en una sola sesión o en varias sesiones dependiendo de la tolerancia de cada paciente. Inicio Antes & Después Blanqueamiento Dental Testimonios de Blanqueamiento Dental De que se trata Caso real de Blanqueamiento ZOOM!. BLANQUEAMIENTO DENTAL EN BOGOTÁ _____ Consigue una sonrisa bella y atractiva con el blanqueamiento dental combinado de la Dra Verónica Rodriguez El blanqueamiento es combinado (en consultorio y casero) Tu sonrisa se verá mucho más atractiva Tus dientes blancos por mucho más tiempo.
Antes y después blanqueamiento dental El blanqueamiento dental es uno de los tratamientos estéticos más demandados por los pacientes Como puede comprobarse, los excelentes resultados permiten no solo disfrutar de una mejora estética, sino incluso de un aspecto más rejuvenecido y, en general, de una mejor calidad de vida al sentirse el paciente más a gusto consigo mismo. Blanqueamiento dental Antes y después de un blanqueamiento dental Los resultados pueden variar entre un paciente y otro. Blanqueamiento Dental Láser El tratamiento, de blanqueamiento dental con el láser de diodo, está indicado para todo el que desee aclarar el color de sus dientes, sin embargo, previo al tratamiento, se debe realizar un examen dental en el cual se determinará, si es adecuado llevar a cabo el aclaramiento dental, o si existe alguna condición que impida la realización del procedimiento.
Después de gastar tiempo y dinero en blanqueamiento dental, lo último que querés ver en el espejo es una decoloración Descubrí cómo mantener los dientes blancos y brillantes que tanto te han costado Cuidado diario de limpieza y pulido Cepillarte y usar hilo dental a diario te ayudará a mantener la boca limpia, sana y sin manchas. El blanqueamiento dental que realizamos en nuestras clínicas de Madrid es un tratamiento de estética dental mediante el cual el paciente obtiene un color más claro en sus dientes y elimina manchas o diferencias de color en su esmalte Es importante seguir unos cuidados y precauciones antes, durante y después del tratamiento para que el resultado sea 100% eficaz. Dos sesiones de blanqueamiento dental de consultorio;.
Hoy os traemos el antes y después de un tratamiento de estética dental que combina carillas, coronas sobre implantes y un blanqueamiento dental ¡3 en 1 para conseguir mejorar la sonrisa 😁!Podéis ver en las imágenes el cambio en 3 posiciones distintas sonrisa, en oclusión y con la boca entreabierta. 0 Antes y después Home;. ¿Qué es un blanqueamiento dental interno?.
Cuando un paciente finaliza un tratamiento de ortodoncia es el momento, si lo desea, de iniciar también en nuestra clínica una fase de estética dental La fase de estética dental cambia significativamente el aspecto de nuestro rostro Uno de los tratamientos estrella en el ámbito de la estética dental es el blanqueamiento, del que hoy Antes y después en blanqueamiento dental ) Leer. Inscrito en el registro sanitario con nº CS3978. El blanqueamiento dental es un procedimiento estético que debe ser realizado y supervisado por un odontólogo El objetivo del blanqueamiento dental es eliminar las manchas de los dientes así como la tonalidad oscura de los dientes mediante un procedimiento estético Existen dos tipos de blanqueamiento dental Por un lado, el blanqueamiento dental ambulatorio que se realiza desde la casa y.
Lo puede usar para cepillarse o lo coloca en la cubeta y la utiliza por un periodo de cuatro minutos antes y después de blanquear sus dientes;. Antes y Después Antes y Después Pacientes Celebrities & Influencers Tips Higiene Dental Ortodoncia Blanqueamiento Dental y Estética dental Dirección Laprida 1621 2 B CABA Buenos Aires Turnos Clínica 54 (011) 48 01 Whatsapp 3229 5596 Galería de imágenes Especialidades y Tratamientos Implantes Dentales. Blanqueamiento dental en la consulta Normalmente, se realizan 3 o 4 sesiones y tienen una duración de unos 15 minutos Antes de realizarlo el dentista aislará las mucosas de las encías y los labios y protegerá los ojos del paciente.
El blanqueamiento dental que realizamos en nuestras clínicas de Madrid es un tratamiento de estética dental mediante el cual el paciente obtiene un color más claro en sus dientes y elimina manchas o diferencias de color en su esmalte Es importante seguir unos cuidados y precauciones antes, durante y después del tratamiento para que el resultado sea 100% eficaz. Antes y después de un blanqueamiento dental con nosotros ️ Si algo tenemos es el mejor láser de Tijuana ☺️ #blanqueamientodental #dentalgama #dentalwhitening #dentalclinic #dental.
Blanqueamiento Dental Y Carillas De Porcelana
Blanqueamiento Dental Tipos Precio Y Opiniones
Blanqueamiento Dental Antes Y Despues Teeth 22
Blanqueamiento Dental Antes Y Despues Real のギャラリー
Limpieza Y Blanqueamiento Dental Antes Y Despues
Antes Y Despues Del Blanqueamiento Clinica Dental Bernabeu
10 Preguntas Y Respuestas Sobre El Blanqueamiento Dental Axioma Estudi Dental
Uso De Desibilizantes Para Aliviar La Sensibilidad Dental Ferrus Bratos
Blanqueamiento Dental Clinica Hb
Blanqueamiento Dental En Una Unica Sesion De 45 Minutos
Consejos Para Antes Y Despues De Un Blanqueamiento Dental Mag Clinica Estetico Dental En Hortaleza Madrid
Cuidados Durante Y Despues Del Tratamiento De Blanqueamiento Dental Edb
Implantes Blanqueamiento Carillas Componeer Gratis Presupuestos
Blanqueamiento Dental En Badalona Clinica Rob
Precio Blanqueamiento Dental En Barcelona Badalona Y Madrid Centro
10 Consejos Que Debes Conocer Antes De Hacerte Un Blanqueamiento Dental
Blanqueamiento Dental Seraldent 2lw6p
Clinica Murano Blanqueamiento Dental En Oferta 100 000 Facebook
Como Elegir El Blanqueamiento Ideal Para Los Dientes 800noticias
Blanqueamiento Dental Preguntas Y Respuestas Clinica Dental Diaz Lopez Estadio Ramon De Carranza
Blanqueamiento Dental Que Es Y Cuales Son Sus Ventajas Clinicas Cleardent
Como Conseguir Unos Dientes Blancos Sentirse Sano
Fotos De Antes Y Despues Del Blanqueamiento Dental Clinica Rosales
10 Preguntas Y Respuestas Sobre El Blanqueamiento Dental Axioma Estudi Dental
Antes Y Despues De Blanqueamiento Dental Oe Sevilla
Ortodoncia Lardero Blanqueamiento Dental
Blanqueamiento Dental Led Dental Valdemoro
Antes Y Despues Del Blanqueamiento Clinica Dental Bernabeu
Blanqueamiento Dental Laser Antes Y Despues De Adelgazar Valor Nutricional Queso Gouda
Odontofamily Blanqueamiento Dental Caso Real Que Facebook
Blanqueamiento Dental Quickwhite Corporacion Dental
Blanqueamiento Dental En Villanueva Del Pardillo Madrid Noroeste
Resultados V S Expectativas Blanqueamiento Dental Carrasco Clinica Dental
Fotos De Antes Y Despues Del Blanqueamiento Dental Clinica Rosales
Blanqueamiento Dental En Perez Zeledon Zona Sur Costa Rica
Blanqueamiento Dental Dentist Elk Grove Ca Dental Spanish Education Library
Blanqueamiento Dental Luce Dientes Mas Blancos Clinica Galena
Blanqueamiento Antes O Despues De La Ortodoncia Solucion Dental
Antes Y Despues Del Blanqueamiento Dental En Dientes Blanqueadores Machos Para Eliminar Las Manchas De Cafe O Cigarrillos Imagen De Archivo Imagen De Eliminar Dental
Carillas De Porcelana Arcada Superior Y Blanqueamiento Dental
Q Tbn And9gctc7nzjrlsdem6bfly6bdr8gxrrhnuhde853ajxjiziglniad Usqp Cau
5 Puntos De Tener En Cuenta Si Se Quiere Realizar Un Blanqueamiento Dental Clinica Odontologica Berlin En Las Condes
Mi Blanqueamiento Dental Antes Y Despues Oh My Blog
Blanqueamiento Dental Antes Y Despues Cliniky
Blanqueamiento Dental Clinica Dental Magallanes
Como Alargar La Duracion De Un Blanqueamiento Dental
Ortodoncia Y Blanqueamiento Dental Youtube
Blanqueamiento Dental Laser Led Plasma Zoom
Blanqueamiento Dental Philips Zoom Por 349 Caredent
Blanqueamiento Dental Tratamientos Centre Dental M Castellsague
Dientes Antes Y Despues Del Blanqueamien Premium Photo Freepik Photo Mujer Salud Cara Sonrisa Dentes Clareamento De Dente Dentes Brancos
Blanqueamiento Dental Con Laser Ventajas Y Beneficios
Q Tbn And9gctq B9hhhbem7ynb9atugbnk5wdw7vjvbx Af7mufk Usqp Cau
Como Cuidar Tus Dientes Despues De Un Blanqueamiento Dental Teeth 22
Que Hacer Y Que No Hacer Despues Del Blanqueamiento Dental Dentistas Espacio Dental Jaen
Indicaciones Y Efectos Secundarios Del Blanqueamiento Dental Con Laser Estudi Dental Barcelona
Blanqueamiento Dental Ortodoncia En Palencia Clinica Dental
Blanqueamiento Dental Led Youtube
Por Que Se Oscurecen Los Dientes Que Solucion Hay Y Que Precio Tiene Dental Echeverria
Blanqueamiento Dental La Clinica Dental Roma
Q Tbn And9gctipntms91b Nuyo5edhkds2an0pjxstrf5hc8owmwy7ekpirgp Usqp Cau
Blanqueamiento Dental Antes Y Despues Blanqueamiento Dental Dental Blanqueamiento
El Blanqueamiento Dental En Casa O En Clinica Dentaden
Que Es Un Blanqueamiento Dental Led
Caso Dental Karo Tratamiento De Blanqueamiento Dental Clinica Dental Padros
4 Cosas Que Debes Hacer Antes De Un Blanqueamiento Dental Clikisalud Net Fundacion Carlos Slim
Verdades Y Mentiras Sobre El Blanqueamiento Dental
Consejos Para El Antes Y Despues De Un Tratamiento De Blanqueamiento Dental Soler Dental
Blanqueamiento Dental Opiniones Y Consecuencias El Blog De Vitaldent Habitos Tratamientos Y Consejos De Salud Dental
Blanqueamiento Dental Todo Lo Que Tienes Que Saber Antes De Hacertelo Telva Com
Me Hice Un Blanqueamiento Dental Un Cambio Total Youtube
Q Tbn And9gctrb11depqzi2xe3iugqw9ztcygp31jhhniiihiqggino46vaqm Usqp Cau
Blanqueamiento Dental En Valencia Clinica Dental Doctora Miralles
Fotos De Antes Y Despues Del Blanqueamiento Dental Clinica Rosales
Los Blanqueamientos Dentales Son Para El Verano
Blanqueamiento Dental Laser Antes O Despues De La Ortodoncia
Blanqueamiento Dental Ambulatorio Antes Y Despues Teeth 22
Blanqueamiento Dental Laser Led Plasma Zoom
Blanqueamiento Dental En Una Unica Sesion De 45 Minutos
Minim Blanqueamiento Dental En Minim Dientes 8 Veces Mas Blancos En 45 Minutos
Antes Y Despues Blanqueamiento Dental En Colombia
Estetica Dental En Arganda Del Rey Clinica Dental Acuadental
Blanqueamiento Dental Antes Y Despues I Blog Clinica Miguel Angel Garcia
Preguntas Frecuentes Sobre Blanqueamiento Dental En Zaidia Valencia Clinica Dental Logica Estetica
Que Es El Blanqueamiento Dental Terminos Odontologicos Bqdc
Blanqueamiento Dental Con Ferulas Es Efectivo Ferrus Bratos
Blanqueamiento Dental Antes Y Despues De Tu Sonrisa Clinica Dental Horta Nord Dr Santamaria
Blanqueamiento Dental Profesional En Casa Y Sorteo Beautystylo Youtube
Mi Experiencia Dental Blanqueamiento Y Carilla Jazzme Lorduy Youtube
Antes Y Despues En Blanqueamiento Dental Clinica Peydro
Blanqueamiento Dental Antes Despues Fotos Retratos Imagenes Y Fotografia De Archivo Libres De Derecho Image
Blanqueamiento Antes Y Despues Centro Ontologico Alto Santiago
Clinical Cases Photos Before And After Dental Work Traveltodentist Chisinau Moldova
Consejos Que No Debes Olvidar Si Quieres Un Blanqueamiento Dental
Antes Y Despues Sky Dental Dds
Blanqueamiento Dental Preguntas Frecuentes
Blanqueamientos Dentales En Tenerife Clinica Dental Aparicio
Antes Y Despues Sky Dental Dds
Precio Blanqueamiento Dental En Barcelona Badalona Y Madrid Centro
Blanqueamiento Dental En Bilbao Clinica Ibaiondo
Blanqueador Dental Todo Lo Que Siempre Has Querido Saber Sobre Blanqueadores Dentales
Cuanto Dura Un Blanqueamiento Dental Ferrus Bratos J1t6j
10 Cosas Que Debes Saber Antes De Realizarte Un Blanqueamiento Dental
Blanqueamiento Dental Laser Antes O Despues De La Ortodoncia


